Diagnostic Mock up, what is it?



Mock up is a diagnostic procedure, useful to Esthetic Dentistry and Prosthodontics. 

Imagine mock up like a smile simulation, happening directly over your teeth, something like a "test smile".

It changes temporarilly the shape and colour of your teeth, in order to check the changes you and your dentist wish to make on your smile.

It is used in the first steps of a Smile Design procedure. 

dental mockup

In the case presented in the picture you can see the smile of our patient before and after the mock up procedure.

Changes are so dramatic, that we need to make sure the result will not be a suprise to her, before we proceed to the actual dental procedures. 

smile mockup

The second picture presents a more distant picture of the face, showing how much happier and satisfied the patient feels with the smile we plan for her. 

The purpose of mock up is to to present the desired outcome on teeth and smile before we moove on to the final treatment plan. It is an extremenly useful communication tool for the patient and the dentist allows the dentist to evaluate the patient's desires and change the treatment plan accordingly

Mock up, step by stepThe procedure starts with the examination of the patient and the discussion of patient's esthetic concerns and needs. 

We make an impression  of the teeth and fabricate a cast. With the help of pictures and the patient consultation, we inform the dental technician of the changes we wish to make on the cast. 

Changes are made with addition of wax on the cast. In the following appointment, the dentist and the patient discuss the wax up and figure out if there are more changes that need to be made. 

When we are happy with the diagnostic wax up, we copy it with silicon and we fabricate a  silicon index. With the help of resin material placed inside the index and then directly over your teeth, we copy the wax up on your teeth. When we remove the index from the mouth, the result is immediately visible.

Usually the resulting changes are significant and our patients need time to understand them and decide if they like them or not. We use this time, to photograph teeth and the new smile and we deliver the material we gathered to our patient, to evaluate it and discuss it with his/her family.

The pictures below show the mock up of a smile for a patient that desires to change her bonding with porcelain veneers.

We changed the shape and the proportions of her teeth, to show her what we can do for her.

This is a powerful message very useful for the following treatment.

Diagnostic mock up

Sometimes when the mock up has the right thickness, we can give it to our patient to take it at home to assess it calmly. Mock up is not possible in all cases.

When teeth need to be modified before the fabrication of the prosthesis, mock up cannot be used as a diagnostic procedure. In this case we can evaluate the final result of the treatment at the provisional stage, before the construction of the final work.

Sometimes patients are happy with the result, some others they are not. In any case with the mock up procedure, patients are able to locate the points that troubles them and ask for changes. The procedure can be repeated as many times as nesecary, until the desired outcome is reached. 

In case the changes do not satisfy your needs, then you may deside to change the treatment plan completelly, choose for example orthodontic treatment instead of a cosmetic treatment or even decide that your original smile is better and you want to keep it. 

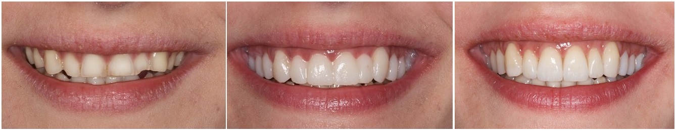
When all procedures are done precisely we can provide our patients with beautiful prostheses, like in the bulimia-nervosa case of the following picture, where you can see the initial smile, the smile with the mock up and the final result with porcelain venneers.

sixveneers

Learn more about Esthetic Dentistry procedures with our free e-book, and if interested in travelling to Greece to get a beautiful smile, visit the international patients section of our site. 

Domna Evangelidou, Prosthodontist

 








Share this post

Submit to FacebookSubmit to TwitterSubmit to LinkedIn