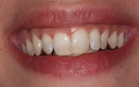
Όψεις πορσελάνης
ΠΡΙΝ

ΜΕΤΑ
Όψεις πορσελάνης ονομάζονται οι πολύ λεπτές προσθετικές εργασίες, που είναι φτιαγμένες από πορσελάνη και συγκολλώνται στην εξωτερική επιφάνεια των δοντιών.
Χρησιμοποιούνται σε ασθενείς μας με φυσικά δόντια για να βελτιώσουν το χαμόγελο τους.
Περισσότερα...
Ολοκεραμικά
ΠΡΙΝ
ΜΕΤΑ
Οι ολοκεραμικές στεφάνες ή γέφυρες, κατασκευάζονται στα πρόσθια δόντια και αποτελούνται μόνο από πορσελάνη.
Έχουν εξαιρετική οπτική συμπεριφορά και αισθητική λόγω της απουσίας μετάλλου στο εσωτερικό τους. Είναι το είδος των στεφανών που προτιμούμε για τα πρόσθια δόντια .
Περισσότερα ...
Όψεις ρητίνης
ΠΡΙΝ
ΜΕΤΑ
Οι όψεις ρητίνης χρησιμοποιούνται σε μια τεχνική που ονομάζεται Ανάπλαση των δοντιών ή Bonding.
Σκοπός της τεχνικής είναι να αλλάξουμε το χρώμα ή το σχήμα των δοντιών και να βελτιώσουμε την αισθητική του χαμόγελου με γρήγορο και οικονομικό τρόπο.
Περισσότερα...
Λεύκανση
ΠΡΙΝ
ΜΕΤΑ
H λεύκανση των δοντιών βελτιώνει το χρώμα των δοντιών και απομακρύνει τις χρωστικές και τις δυσχρωμίες.
Είναι μια από τις πιο συντηρητικές αισθητικές παρεμβάσεις και βελτιώνει σημαντικά την εικόνα των δοντιών και του χαμόγελου σας.
Περισσότερα...
Σχεδιασμός χαμόγελου
Το ιδανικό χαμόγελο είναι δώρο της φύσης, είναι όμως πολύ ευχάριστο πως σήμερα μπορούμε με σωστή μεθοδολογία να το δημιουργήσουμε.
Πριν από οποιαδήποτε οδοντιατρική πράξη είναι απαραίτητο ....
Περισσότερα...