Πότε ολοκληρώνεται η θεραπεία με τα εμφυτεύματα;
Συνήθως μετά την τοποθέτηση των εμφυτευμάτων, ακολουθεί περίοδος 2-6 μηνών για την σταθεροποίηση τους.
Στην κάτω γνάθο ο χρόνος αναμονής είναι περίπου 2-3 μήνες λόγω της καλύτερης ποιότητας του διαθέσιμου οστού, ενώ στην άνω γνάθο ο χρόνος αναμονής είναι περίπου 6 μήνες.
Ανάλογα με την φύση του προβλήματος σας, η αναμονή μπορεί να είναι εύκολα αποδεκτή αλλά μπορεί και να δυσκολεύει την ζωή σας.
Συνήθως προβληματίζονται περισσότερο οι άνθρωποι που δεν έχουν καθόλου δόντια και δεν είχαν χρησιμοποιήσει ολική οδοντοστοιχία ποτέ στο παρελθόν, καθώς και οι ασθενείς μας που χάνουν ένα μπροστινό δόντι.
Μπορεί να μειωθεί ο χρόνος αναμονής;
Υπό συγκεκριμένες συνθήκες είναι δυνατή η τοποθέτηση εμφυτευμάτων και η αποκατάσταση τους στον ίδιο χρόνο, με μια προσωρινή ή ακόμη και με την τελική εργασία.
Η τεχνική ονομάζεται άμεση φόρτιση των εμφυτευμάτων και εφαρμόζεται στις περιπτώσεις που το εμφύτευμα ή τα εμφυτεύματα μπορούν να τοποθετηθούν σε άριστης ποιότητας οστό.
Προϋπόθεση για την επιτυχία αυτής της τεχνικής είναι η επιλογή του κατάλληλου περιστατικού.
Είναι η άμεση φόρτιση κατάλληλη για μένα;
Η τεχνική της άμεσης φόρτισης απαιτεί προσεκτικό σχέδιο θεραπείας και σωστή επιλογή των περιστατικών στα οποία εφαρμόζεται. Μειώνει σημαντικά τον χρόνο θεραπείας και γι αυτό είναι δελεαστική για πολλούς ασθενείς μας.
Πρέπει να σας εξετάσουμε με προσοχή για να αποφασίσουμε αν μπορούμε να εφαρμόσουμε την τεχνική της άμεσης φόρτισης σε εσάς.
Μπορείτε να διαβάσετε και το άρθρο μας που δημοσιεύτηκε στον τύπο.
Δείτε επίσης παρακάτω σε φωτογραφίες τα στάδια της τεχνικής καθώς και περιστατικά άμεσης φόρτισης που έχουν θεραπευτεί στο ιατρείο μας σε μια μέρα.

Στάδιο 1:Εξέταση-ενημέρωση, Στάδιο 2:Τοποθέτηση των εμφυτευμάτων

Στάδιο 3:Καταγραφή των σχέσεων των γνάθων,
Στάδιο 4:Αναμονή

Στάδιο 5:Παράδοση εργασίας,
Στάδιο 6:Καινούργια δόντια σε μια μέρα

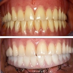
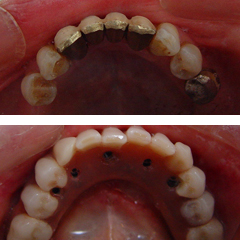
Αντικατάσταση οδοντοστοιχίας με ακίνητη αποκατάσταση σε εμφυτεύματα σε μία μέρα

Εξαγωγή φυσικών δοντιών και ακίνητη αποκατάσταση σε εμφυτεύματα σε μια μέρα

Άμεση αποκατάσταση άνω και κάτω γνάθου σε μια μέρα
Δείτε στο βίντεο που ακολουθεί πολλές πληροφορίες για την άμεση φόρτιση και τι μπορεί να σας προσφέρει: