Τι είναι η οδοντοστοιχία;
Οδοντοστοιχία ονομάζεται η κινητή προσθετική εργασία που συμπληρώνει τα δόντια που λείπουν.
Υπάρχουν δύο είδη οδοντοστοιχιών, η ολική (ή μασέλα) για τις περιπτώσεις που λείπουν όλα τα δόντια σε μία γνάθο και η μερική (ή μασελάκι) που χρησιμοποιείται όταν υπάρχουν ακόμη κάποια δόντια- στηρίγματα.
Η ολική οδοντοστοιχία στηρίζεται στα ούλα ενώ η μερική οδοντοστοιχία στηρίζεται στα δόντια ή στα δόντια και στα ούλα ταυτόχρονα.
Δείτε στο βίντεο που ακολουθεί πολλές πληροφορίες για τις οδοντοστοιχίες, τα είδη τους καθώς και ότι πρέπει να γνωρίζετε αν φοράτε οδοντοστοιχία για πρώτη φορά.
Τι είναι η άμεση οδοντοστοιχία;
Άμεση ονομάζεται η οδοντοστοιχία που κατασκευάζεται πριν την εξαγωγή των δοντιών και τοποθετείται στο στόμα αμέσως μετά.
Οι άμεσες οδοντοστοιχίες είναι εξαιρετική λύση για ασθενείς που δεν θέλουν να μείνουν χωρίς δόντια ούτε μια στιγμή.
Στο ιατρείο μας οι ολικές οδοντοστοιχίες που φτιάχνονται όταν ένας ασθενής μας πρόκειται να χάσει τα τελευταία του δόντια, είναι πάντα άμεσες.
Οι ασθενείς μας με τις άμεσες οδοντοστοιχίες μπορούν να μιλήσουν, να φάνε και να χαμογελάσουν από την πρώτη στιγμή μετά την εξαγωγή των τελευταίων δοντιών τους.
Οι άμεσες οδοντοστοιχίες επιτρέπουν να αντιγράψουμε χαρακτηριστικά των φυσικών δοντιών όπως το σχήμα, την θέση και το χρώμα τους. Έτσι όταν τις τοποθετούμε στο στόμα, αμέσως μετά την εξαγωγή των τελευταίων δοντιών, δύσκολα γίνεται αντιληπτή κάποια διαφορά στο χαμόγελο σας.
Τα ούλα συρρικνώνονται κυρίως τους πρώτους 6 μήνες μετά την εξαγωγή των δοντιών, οπότε οι άμεσες οδοντοστοιχίες μπορεί να χρειαστούν αναπροσαρμογή (γέμισμα), μετά από κάποια διάστημα για να εφαρμόζουν καλύτερα.
Τι είναι οι επένθετες οδοντοστοιχίες;
Επένθετες ονομάζονται οι σταθερές οδοντοστοιχίες που στηρίζονται στις ρίζες των δοντιών ή σε εμφυτεύματα με την βοήθεια μικρών συγκρατητικών μηχανισμών.
Όταν στο στόμα υπάρχουν ακόμη κάποια δόντια με μέτρια πρόγνωση μπορούμε να τα κόψουμε στο ύψος των ούλων και να τοποθετήσουμε στο εσωτερικό τους ένα μηχανισμό που συγκρατεί την οδοντοστοιχία και την κάνει πιο σταθερή.
'Οταν μετά από κάποιο χρονικό διάστημα τα δόντια-στηρίγματα χαθούν, η οδοντοστοιχία παραμένει ίδια και ενώ έχει μεγαλύτερη κινητικότητα, εσείς την χρησιμοποποιείτε εύκολα γιατί στο μεταξύ την έχετε συνηθίσει στο στόμα σας.
Επένθετη οδοντοστοιχία μπορούμε να κατασκευάσουμε και πάνω σε οδοντικά εμφυτεύματα, ώστε νε βελτιώσουμε την απόδοση μιας ολικής οδοντοστοιχίας.
Πως θα νιώθω με τις καινούργιες οδοντοστοιχίες;
Οι καινούργιες οδοντοστοιχίες δυσκολεύουν τους ασθενείς τον πρώτο καιρό γιατί κινούνται στο στόμα και πρέπει να μάθετε να μιλάτε και να τρώτε με αυτές.
Καθώς όμως η γλώσσα και οι μύες της περιοχής συντονίζονται και αποδέχονται την παρουσία τους, η χρήση της γίνεται πιο εύκολη.
Θα συνηθίσω τις καινούργιες οδοντοστοιχίες;
Πολλοί από τους ασθενείς μας λειτουργούν θαυμάσια με τις οδοντοστοιχίες τους και μετά την πάροδο της περιόδου προσαρμογής, τις αισθάνονται σαν τα δικά τους δόντια.
Υπάρχουν όμως άνθρωποι που χρειάζονται μεγαλύτερη σταθερότητα και συγκράτηση για να νιώσουν αυτοπεποίθηση, όπως και μερικοί που δεν μπορούν ψυχολογικά να συμφιλιωθούν με την ιδέα μια εργασίας που κινείται στο στόμα.
Σε αυτές τις περιπτώσεις οι λύσεις με τα οδοντικά εμφυτεύματα είναι χρήσιμες.
Δείτε παρακάτω περιστατικά οδοντοστοιχιών που έχουν θεραπευτεί στο ιατρείο μας.
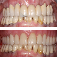
Χαμόγελο ασθενούς με ολικές οδοντοστοιχίες
Αποκατάσταση του προφίλ και της στήριξης του προσώπου με ολική οδοντοστοιχία
Αποκατάσταση της στήριξης του χείλους με ολική οδοντοστοιχία
Επένθετη οδοντοστοιχία σε εμφυτεύματα
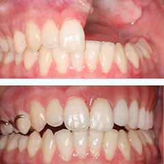
Αντικατάσταση γέφυρας στην άνω γνάθο με άμεση οδοντοστοιχία
Χαμόγελο της ασθενούς πριν και μετά την παράδοση άμεσης οδοντοστοιχίας
Αποκατάσταση της στήριξης του χείλους με ολική οδοντοστοιχία
Εκτομή της άνω γνάθου και αντιμετώπιση με μερική οδοντοστοιχία
Χαμόγελο ασθενούς με μερική οδοντοστοιχία μετά από εκτομή άνω γνάθου
Επένθετη οδοντοστοιχία σε δόντια




