Γιατί πρέπει να αντικαταστήσω τα δόντια που έχω χάσει;
Η απώλεια των πίσω δοντιών, επηρεάζει σημαντικά την μάσηση και απαιτεί έγκαιρη αντιμετώπιση, γιατί μπορεί να αποδιοργανώσει πλήρως τις σχέσεις των δοντιών μεταξύ τους.
Όταν τα δόντια που χάνονται δεν αντικαθίστανται, τότε τα δόντια του αντίθετου τόξου και τα γειτονικά αρχίζουν να μετακινούνται προς τον κενό χώρο.
Η μάσηση μεταφέρεται στα μπροστινά δόντια, τα οποία επειδή δεν έχουν την ικανότητα να αντέξουν τις μασητικές δυνάμεις μετακινούνται ή τρίβονται.
Σημαντική συνέπεια είναι και η απώλεια του οστού που στηρίζει τα δόντια. Μόλις ένα δόντι χαθεί, αρχίζει η απορρόφηση του οστού. Όσο περισσότερο καθυστερούμε να τα αντικαταστήσουμε τόσο περισσότερο αυτό απορροφάται, οπότε η τοποθέτηση εμφυτευμάτων αργότερα μπορεί να γίνει πιο δύσκολη έως και αδύνατη.
Ποιες είναι οι εναλλακτικές μου λύσεις;
Όταν γύρω από τα δόντια που χάσατε, υπάρχουν άλλα δόντια σε καλή κατάσταση, τότε αυτά μπορούν να τροχιστούν και να χρησιμοποιηθούν ως στηρίγματα μιας ακίνητης γέφυρας.
Όταν δεν υπάρχει ακραίο δόντι στήριγμα, ή αυτά που υπάρχουν είναι ακατάλληλα τότε η μόνη η εναλλακτική λύση για την αντικατάσταση των δοντιών που χάθηκαν είναι μια μερική οδοντοστοιχία. Πρόκειται για μια κινητή εργασία, η οποία αναπληρώνει τα δόντια που λείπουν και πρέπει να αφαιρείται και να καθαρίζεται μετά από κάθε γεύμα.
Γιατί πλεονεκτεί η λύση των εμφυτευμάτων;
Η αντικατάσταση πολλών χαμένων δοντιών με εμφυτεύματα, είναι η πιο ιδανική λύση γιατί εξασφαλίζει άριστη μασητική ικανότητα, ακίνητη προσθετική εργασία, δεν προϋποθέτει κάλυψη της υπερώας και διατηρεί αμετάβλητη την γευστική ικανότητα.
Τα γειτονικά δόντια δεν επιβαρύνονται διατηρώντας την πρόγνωση τους σε υψηλό επίπεδο.
Επιπλέον η τοποθέτηση των εμφυτευμάτων εμποδίζει την περαιτέρω απορρόφηση του οστού των γνάθων.
Δείτε το ακόλουθο βίντεο του ιατρείου μας για την απώλεια πολλών δοντιών.
Δείτε επίσης παρακάτω περιστατικά έλλειψης πολλών δοντιών, που έχουν θεραπευτεί στο ιατρείο μας με οδοντικά εμφυτεύματα και αποκτήστε δωρεάν το ηλεκτρονικό βιβλίο μας με πληροφορίες για τα οδοντικά εμφυτεύματα εδώ .
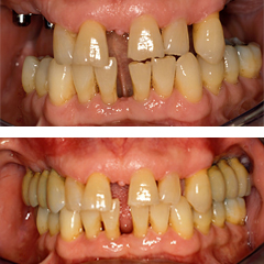
Αντικατάσταση μερικής οδοντοστοιχίας με γέφυρα στηριγμένη σε εμφυτεύματα
Αντικατάσταση μερικής οδοντοστοιχίας με γέφυρα στηριγμένη σε εμφυτεύματα
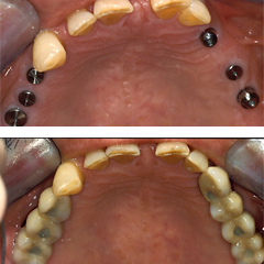
Μεταλλοκεραμική γέφυρα άνω γνάθου σε 5 εμφυτεύματα
Γέφυρα στηριγμένη σε εμφυτεύματα, τοποθετημένη στο στόμα
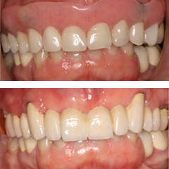
Αποκατάσταση οπισθίων δοντιών άνω γνάθου με εμφυτεύματα σε περιοδοντικό ασθενή
Αποκατάσταση οπισθίων δοντιών άνω γνάθου με εμφυτεύματα σε περιοδοντικό ασθενή




