Στεφάνες



στεφάνες 

Tι είναι οι στεφάνες;

 Οι στεφάνες είναι μικρές προσθετικές εργασίες που τοποθετούνται σε ένα δόντι αφού αυτό τροχιστεί σε όλες του τις διαστάσεις.

Χρησιμοποιούνται τόσο στα πρόσθια όσο και στα οπίσθια δόντια και ενδείκνυνται στις περιπτώσεις που ένα δόντι έχει σημαντική απώλεια οδοντικής ουσίας. 

 

Από τι εξαρτάται η αντοχή των στεφανών στον χρόνο;

 Η αντοχή τους στον χρόνο εξαρτάται από την σωστή προπαρασκευή του δοντιού, την εφαρμογή τους στο δόντι, και την ποιότητα κατασκευής της στο εργαστήριο.

Προκειμένου να επιτευχθούν όλα αυτά χρειάζεται πολύ προσεκτική εργασία του γιατρού, λεπτομερής αποτύπωση του δοντιού και κατάλληλη τεχνική υποστήριξη από το οδοντοτεχνικό εργαστήριο. 

Στο ιατρείο μας η κατασκευή στεφανών απαιτεί 5 στάδια σε χρονικό διάστημα 7-10 ημερών. Τα στάδια αυτά είναι η παρασκευή του δοντιού και η κατασκευή της προσωρινής στεφάνης, η αποτύπωση του, η δοκιμή της στεφάνης στο στάδιο του μεταλλικού σκελετού και αργότερα στο στάδιο της αγυάλιστης πορσελάνης και τέλος η συγκόλληση της.

Δείτε στο βίντεο που ακολουθεί χρήσιμες πληροφορίες για τις στεφάνες:

"

Υπάρχει κάτι νέο στις στεφάνες που κατασκευάζονται σήμερα;

 Τα τελευταία χρόνια με τα σύγχρονα υλικά, έχουμε την δυνατότητα να αποδώσουμε καλύτερο αισθητικό αποτέλεσμα στις στεφάνες μας.

Μπορούμε πια να κατασκευάσουμε στεφάνες με αυχενικό όριο πορσελάνης χωρίς το αντιαισθητικό «γκριζάρισμα» του μετάλλου στα ούλα ή και ολοκεραμικές στεφάνες που δεν έχουν μεταλλική υποστήριξη και αποδίδουν εξαιρετικό αισθητικό αποτέλεσμα γιατί επιτρέπουν την δίοδο του φωτός.

Δείτε παρακάτω περιστατικά που έχουν θεραπευτεί με στεφάνες στο ιατρείο μας.

Στεφάνες

Αντικατάσταση στεφάνων στους κεντρικούς τομείς

στεφάνες

Κατασκευή στεφάνων στους κεντρικούς τομείς

στεφάνες

Αντικατάσταση παλαιών στεφανών στους κεντρικούς τομείς

στεφάνες

Αντικατάσταση παλαιών στεφανών με νέες

στεφάνες

Αντικατάσταση παλαιών στεφανών στα κάτω πρόσθια δόντια

στεφάνες

Κατασκευή μεταλλοκεραμικών στεφανών στα πρόσθια δόντια της άνω γνάθου

στεφάνες και όψεις πορσελάνης

Αντικατάσταση παλαιάς στεφάνης σε συνδυασμό με όψεις πορσελάνης

ολοκεραμικές στεφάνες

Αντικατάσταση μεταλλοκεραμικών στεφανών με ολοκεραμικές

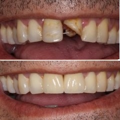
crownsbefore after9

Αντικατάσταση μεταλλοκεραμικών στεφανών με ολοκεραμικές

pelcom5

Ολοκεραμικές στεφάνες σε δόντια σπασμένα