Μου λείπει ένα δόντι



 

εμφύτευμα δοντιού-στεφάνη πριν και μετά

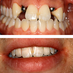
Συγγενής έλλειψη πλάγιων τομέων και αποκατάσταση με εμφυτεύματα

εμφύτευμα δοντιού σε ένα δόντι που λείπει

Συγγενής έλλειψη πλάγιων τομέων και αποκατάσταση με εμφυτεύματα

εμφύτευμα δοντιού σε ένα δόντι που λείπει

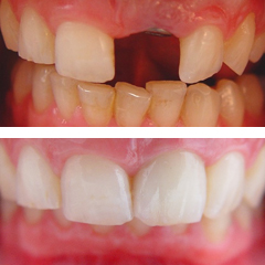
Αποκατάσταση κεντρικού τομέα με εμφύτευμα

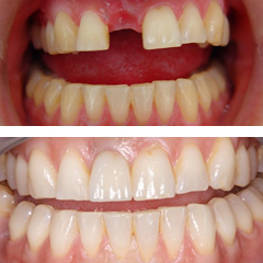
εμφύτευμα δοντιού σε ένα δόντι που λείπιε

Αποκατάσταση κεντρικού τομέα με εμφύτευμα

αντικατάσταση κυνόδοντα με οδοντικό εμφύτευμα

Αποκατάσταση κυνόδοντα με εμφύτευμα

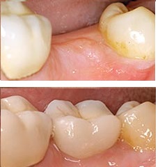
αντικατάσταση γομφίου με οδοντικό εμφύτευμα

Αποκατάσταση γομφίου με οδοντικό εμφύτευμα

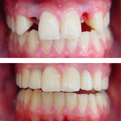
ολοκεραμικές στεφάνες σε οδοντικό εμφύτευμα και συγγενή έλλειψη πλαγίου

Ολοκεραμικές στεφάνες σε εμφυτεύματα σε συγγενή έλλειψη πλάγιων τομέων

Εμφύτευμα στην θέση του κεντρικού τομέα

Ολοκεραμική στεφάνη σε εμφύτευμα στην θέση του κεντρικού τομέα

Έχασα ένα δόντι. Γιατί να το αντικαταστήσω;

 Η απώλεια ενός δοντιού έχει διαφορετικές συνέπειες ανάλογα με την θέση του.

Όταν το δόντι που χάσατε βρίσκεται στην πρόσθια περιοχή του στόματος, τότε η ανάγκη για αντικατάσταση είναι κατά κύριο λόγο αισθητική και γι αυτό γίνεται συνήθως άμεσα.

Απώλεια μπροστινού δοντιού μπορεί να προκληθεί από ατύχημα, κάταγμα, επιπλοκή σε παλιά απονεύρωση ή από περιοδοντική νόσο. Μερικά παιδιά επίσης γεννιούνται με συγγενείς ελλείψεις, κυρίως στους πλάγιους τομείς. 

Όταν το δόντι που χάσατε βρίσκεται στην πίσω περιοχή του στόματος, τότε η απώλεια του έχει κυρίως λειτουργικές επιπτώσεις. Αν το δόντι δεν αντικατασταθεί, οι ανταγωνιστές και τα γειτονικά δόντια αρχίζουν να μετακινούνται δημιουργώντας ανωμαλίες στην σύγκλειση και συνθήκες δύσκολης υγιεινής, που μακροπρόθεσμα οδηγούν σε απώλεια και άλλων δοντιών.

Πως μπορώ να αντικαταστήσω το δόντι που έχασα;

 Ένα μπροστινό δόντι μπορεί να αντικατασταθεί με ένα εμφύτευμα, μια ακίνητη γέφυρα, ή προσωρινά με μια γέφυρα τύπου Maryland ή με μια κινητή εργασία.

 Ένα οπίσθιο δόντι μπορεί να αντικατασταθεί μόνο με ακίνητη γέφυρα ή με ένα εμφύτευμα εκτός και αν είναι το τελευταίο στο τόξο οπότε η εναλλακτική σας λύση είναι μόνο το εμφύτευμα. 

Γιατί πλεονεκτεί η λύση του οδοντικού εμφυτεύματος ;

 Η αντικατάσταση με εμφύτευμα είναι η πιο συντηρητική λύση διότι δεν προϋποθέτει καμιά παρέμβαση στα διπλανά δόντια.

 Η στεφάνη που κατασκευάζεται πάνω του, επιτρέπει  να χρησιμοποιείτε οδοντικό νήμα για να φροντίζετε την περιοχή ανάμεσα σ αυτήν και στο διπλανό δόντι.

 Με ένα εμφύτευμα το πρόβλημα της απώλειας ενός δοντιού αντιμετωπίζεται εκεί που δημιουργήθηκε και δεν επεκτείνεται σε γειτονικά δόντια. 

Δείτε επίσης στο κανάλι του ιατρείου στο YouTube, ένα βίντεο στο οποίο εξηγούμε όλες τις σημαντικές παραμέτρους που πρέπει να γνωρίζετε αν χάσατε ένα δόντι

maxresdefault 3

και αποκτήστε το ηλεκτρονικό βιβλίο του ιατρείου μας για τα οδοντικά εμφυτεύματα εδώ.