Που χρησιμοποιούνται οι γέφυρες;
Οι γέφυρες χρησιμοποιούνται για την αντικατάσταση ενός η περισσότερων δοντιών που λείπουν.
Στηρίζονται στα γειτονικά δόντια και προϋποθέτουν το τρόχισμα των δοντιών που θα τις στηρίξουν, ώστε να δημιουργηθεί ο κατάλληλος χώρος για την εφαρμογή τους.
Από τι εξαρτάται η αντοχή των γεφυρών στον χρόνο;
Οι γέφυρες είναι μια από τις παλαιότερου τύπου οδοντιατρικές εργασίες και η συμπεριφορά τους στον χρόνο εξαρτάται από την σωστή προπαρασκευή των δοντιών-στηριγμάτων, την καλή εφαρμογή τους στα δόντια-στηρίγματα, την ποιότητα της οδοντοτεχνικής εργασίας και την φροντίδα του ασθενούς.
Προκειμένου να επιτευχθούν όλα αυτά χρειάζεται πολύ προσεκτική εργασία του γιατρού, λεπτομερής αποτύπωση του δοντιού και κατάλληλη τεχνική υποστήριξη από το οδοντοτεχνικό εργαστήριο.
Στο ιατρείο μας η κατασκευή γεφυρών απαιτεί 5 διαφορετικά στάδια, την παρασκευή των δοντιών και την κατασκευή της προσωρινής γέφυρας, την αποτύπωση των δοντιών, την δοκιμή της γέφυρας στο στάδιο του μεταλλικού σκελετού και αργότερα στο στάδιο της αγυάλιστης πορσελάνης και τέλος την συγκόλληση της.
Το 75% των γεφυρών παραμένουν στο στόμα περίπου 10 χρόνια. Συνήθως αποτυγχάνουν λόγω της καταστροφής ενός ή περισσότερων δοντιών στηριγμάτων. Αυτός είναι και ο λόγος που τα τελευταία χρόνια η λύση των οδοντικών εμφυτευμάτων ως εναλλακτικής λύσης στο πρόβλημα της απώλειας των δοντιών, γίνεται ολοένα και πιο δημοφιλής.
Δείτε στο βίντεο που ακολουθεί πολλές πληροφορίες για τις γέφυρες των δοντιών.
Ποια είδη γεφυρών υπάρχουν σήμερα;
Σήμερα στα οδοντιατρεία κατασκευάζονται οι κλασικές μεταλλοκεραμικές γέφυρες που αποτελούνται από μεταλλικό σκελετό και αισθητική επικάλυψη πορσελάνης, γέφυρες τύπου Maryland (Μέριλαντ) και ολοκεραμικές γέφυρες.
Όταν οι μεταλλοκεραμικές γέφυρες βρίσκονται στην αισθητική περιοχή του στόματος και το μέγεθος τους είναι μικρό, μπορεί να τοποθετηθεί αυχενικό κεραμικό όριο στο τελείωμα τους κοντά στα ούλα, ώστε να μην "γκριζάρουν" και προδίδουν την παρουσία τους.
Οι γέφυρες τύπου Maryland, χρησιμοποιούνται με επιτυχία ως προσωρινή λύση σε αποκαταστάσεις με εμφυτεύματα ή σε νέους ασθενείς που περιμένουν την ενηλικίωση για να συμπληρώσουν τα δόντια που τους λείπουν. Είναι γέφυρες με μεταλλικό ή κεραμικό πτερύγιο που συγκολλάται στην οπίσθια επιφάνεια των δοντιών και δεν απαιτεί τρόχισμα των δοντιών στηριγμάτων.
Σε μικρής έκτασης γέφυρες στην πρόσθια περιοχή τέλος, χρησιμοποιούμε και ολοκεραμικά υλικά που επιτρέπουν την δίοδο του φωτός μέσα από την μάζα τους βελτιώνοντας το αισθητικό αποτέλεσμα.
Δείτε παρακάτω περιστατικά με γέφυρες που έχουν θεραπευτεί στο ιατρείο μας.

Διόρθωση θέσης πλάγιου τομέα με γέφυρα

Αντικατάσταση παλαιάς γέφυρας με νέα

Αντικατάσταση παλαιάς γέφυρας με νέα

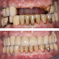
Ολική στοματική αποκατάσταση με γέφυρες

Ολική στοματική αποκατάσταση με νέες γέφυρες

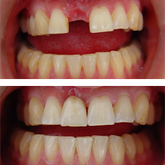
Γέφυρα Maryland για αντικατάσταση πρόσθιου δοντιού

Γέφυρα Maryland για αντικατάσταση πρόσθιου δοντιού

Γέφυρα Maryland για αντικατάσταση πρόσθιου δοντιού

Γέφυρα Maryland για αντικατάσταση δύο πρόσθιων δοντιών και bonding