Μερικές φορές τα προβλήματα των δοντιών και των ούλων, μπορεί να γίνουν πολύ απαιτητικά.
Ειδικά στην περίπτωση που αφορούν σε νέο άνθρωπο και εντοπίζονται στην πρόσθια ζώνη του στόματος, οι θεραπείες γίνονται σύνθετες.
Θα δούμε μαζί την εξέλιξη ενός περιστατικού μικρού σε έκταση, αλλά με μεγάλη βαρύτητα όχι μόνο γιατί η ασθενής είναι μόλις 25 χρονών αλλά και γιατί όλα τα δόντια και τα ούλα στο στόμα της ήταν απολύτως υγιή.
Όλα, εκτός των δύο κεντρικών τομέων, των δοντιών δηλαδή που κυριαρχούν στο χαμόγελο και αποτελούν θεμέλιο για την ωραία εικόνα του.
Η Μ. είναι 25 χρονών και όταν ήταν μικρή μετά από ένα ατύχημα στα μπροστινά της δόντια, άρχισε σταδιακά διάφορες συντηρητικές θεραπείες όπως σφραγίσματα, απονευρώσεις κλπ. μέχρι που μετά την ενηλικίωση της, έβαλε για πρώτη φορά δύο στεφάνες στα μπροστινά της δόντια.
Οι στεφάνες από την πρώτη στιγμή προκάλεσαν μια έντονη φλεγμονή στα ούλα. Αντικαταστάθηκαν από τον ίδιο οδοντίατρο 2 φορές, ενώ επειδή το πρόβλημα των ούλων επέμενε, η ασθενής κατέφυγε σε οδοντίατρο στην Γερμανία για να το αντιμετωπίσει. Στην Γερμανία κατασκευάστηκε ένα ακόμη ζευγάρι στεφανών, το οποίο είχε η ασθενής όταν την γνώρισα.
Έφτασε στο ιατρείο, από παραπομπή του περιοδοντολόγου στον οποίο είχε απευθυνθεί προσπαθώντας να βρει λύση στο πρόβλημα. Τα ούλα γύρω από τις στεφάνες ήταν κόκκινα, αιμορραγούσαν εύκολα και η ασθενής ήταν απογοητευμένη και πολύ ταλαιπωρημένη από την μέχρι τώρα πορεία του περιστατικού της.
Στην φωτογραφία βλέπετε το χαμόγελο της ασθενούς και την εικόνα των δοντιών και των ούλων μέσα στο στόμα, την ημέρα της πρώτης επίσκεψης.
Με τον περιοδοντολόγο, αποφασίσαμε καταρχάς να προχωρήσουμε σε μια δραστική απόξεση των φλεγμονωδών ιστών και να παρακολουθήσουμε την εξέλιξη του περιστατικού.
Η εικόνα των ούλων βελτιώθηκε μετά από 3 εβδομάδες, τα ούλα όμως γύρω από τα δόντια δεν είχαν σωστή μορφολογία και παρέμεναν φλεγμονώδη, όπως φαίνεται στην φωτογραφία που ακολουθεί.
Η βασική αιτία που προκαλούσε το πρόβλημα, είναι πως οι στεφάνες δεν είχαν σωστή εφαρμογή στα δόντια και παραβίαζαν την περιοχή των ούλων που ονομάζεται βιολογικό εύρος πρόσφυσης. Πρόκειται για ένα χώρο βάθους μερικών χιλιοστών, στον οποίο δεν πρέπει να καταλήγει ποτέ μια προσθετική εργασία, προκειμένου να διατηρούνται τα ούλα υγιή.
Οι στεφάνες στους δύο κεντρικούς τομείς της Μ. παραβίαζαν το βιολογικό εύρος πρόσφυσης, γιατί τα δόντια είχαν τροχιστεί πολύ βαθιά μέσα στα ούλα πριν την τοποθέτηση τους.
Το σώμα προσπαθεί συνεχώς να δημιουργήσει την σωστή μορφολογία των ούλων, μέσα από μια φλεγμονώδη διαδικασία η οποία δεν έχει προβλέψιμο αποτέλεσμα. Αυτή η φλεγμονώδης διαδικασία είναι και ο λόγος που η ασθενής μας, αντιμετώπιζε αυτό το σοβαρό πρόβλημα των ούλων.
Αφού αντικαταστήσαμε τις παλιές στεφάνες με νέες προσωρινές, προχωρήσαμε σε ανατολή των δυο δοντιών με την βοήθεια ορθοδοντικών μηχανισμών, όπως φαίνεται στην φωτογραφία που ακολουθεί.
Σκοπός της θεραπείας είναι να μετακινήσαμε τα δόντια έξω από το οστό, ώστε να απομακρύνουμε το τροχισμένο δόντι από την περιοχή του βιολογικού εύρους.
Με αυτό τον τρόπο δίνουμε στα ούλα την δυνατότητα να επουλωθούν και να διατηρηθούν υγιή.
Η ορθοδοντική θεραπεία ολοκληρώθηκε σε 4 μήνες. Η ασθενής μας είχε πάντα παράπονο πως τα δόντια της ήταν μικρά, και έτσι για αισθητικούς λόγους ο περιοδοντολόγος προχώρησε σε επιμήκυνση της μύλης των δοντιών.
Στην φωτογραφία που ακολουθεί, βλέπετε την εικόνα του χαμόγελου με τις προσωρινές στεφάνες μετά το τέλος της ορθοδοντικής θεραπείας και την εικόνα του χαμόγελου μετά την επιμήκυνση μύλης με νέες προσωρινές στεφάνες.
Η Μ. χρησιμοποίησε τις νέες στεφάνες για διάστημα περίπου 8 εβδομάδων μέχρι να βεβαιωθούμε πως τα ούλα της ήταν υγιή και τότε μόνο ξεκινήσαμε την κατασκευή δύο νέων ολοκεραμικών στεφανών.
Η θεραπεία διήρκεσε περίπου ένα χρόνο και χρειάστηκε την συνεργασία τριών εξειδικευμένων οδοντιάτρων.
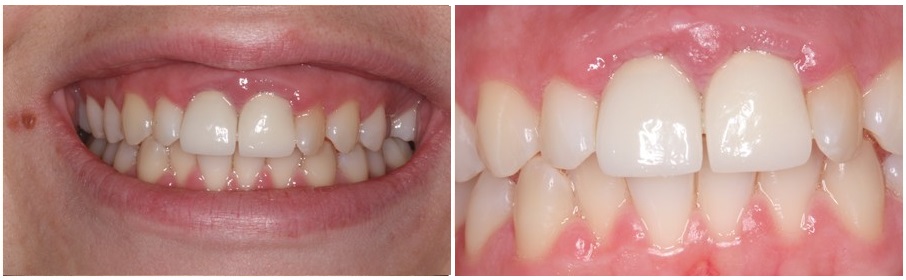
Και μια φωτογραφία τέλος που μου αρέσει πολύ. Η αρχική και τελική εικόνα του χαμόγελου της ασθενούς.
Μην απογοητεύεστε αν αντιμετωπίζετε προβλήματα με τα ούλα και τα δόντια σας.
Ασφαλώς και πρέπει να τα φροντίζετε τα ούλα με σωστές μεθόδους στοματικής υγιεινής και να ενημερώνεστε για τις προσθετικές λύσεις που υπάρχουν για τους περιοδοντικούς ασθενείς, όμως πρέπει να γνωρίζετε πως τα δόντια και τα ούλα πρέπει να είναι απολύτως υγιή πριν από οποιαδήποτε προσθετική αποκατάσταση, ώστε αυτή να ολοκληρωθεί με επιτυχία και να έχει καλή αντοχή στον χρόνο.
Μπορεί η θεραπεία να μην είναι πάντα εύκολη και γρήγορη, αλλά αξίζει τον κόπο.
Περιοδοντολόγος: Θεοδωρόπουλος Ιωάννης, Ορθοδοντικός: Μαρία Ρίζου, Προσθετολόγος: Δόμνα Ευαγγελίδου