Αντικατάσταση στεφανών για βελτίωση της αισθητικής των δοντιών



ipsintro2Πολλές φορές οι ασθενείς μας αγωνιούν για την διάρκεια μιας εργασίας.Όσο περισσότερο αντέξουν τα καινούργια δόντια τόσο καλύτερα είναι για τους περισσότερους.

Η αλήθεια είναι όμως πως καθώς τα χρόνια περνούν αλλάζουν οι ανάγκες μας, η αισθητική μας και οι απαιτήσεις μας από μια προσθετική εργασία.

Ακόμη και όταν τα δόντια αντέχουν, μερικές φορές χρειάζεται η αντικατάσταση των προσθετικών εργασιών για να ικανοποιηθούν άλλες ανάγκες που έχουν προκύψει. 

Τέτοια είναι η περίπτωση της ασθενούς που θα δούμε σήμερα.

Η ασθενής είναι ήδη 30 χρονών και 10 χρόνια πριν προχώρησε σε μια προσθετική εργασία με σκοπό την βελτίωση της αισθητικής του χαμόγελου της.

Η οδοντίατρος κατασκεύασε 3 στεφάνες και μια όψη ρητίνης με σκοπό να συμπληρώσει τα κενά που υπήρχαν ανάμεσα στα δόντια.

Τα φυσικά δόντια ήταν μικρά και ακόμη και όταν αυξήθηκαν σε πλάτος με τις στεφάνες, δεν στάθηκε εφικτό να κλείσουν το κενό ανάμεσα στους δύο κεντρικούς τομείς.

Το κενό λοιπόν που είχε παραμείνει  μετά την προσθετική εργασία, σε συνδυασμό με το ότι οι αισθητικές απαιτήσεις της ασθενούς άλλαξαν, την οδήγησε να αναζητήσει άλλη λύση.

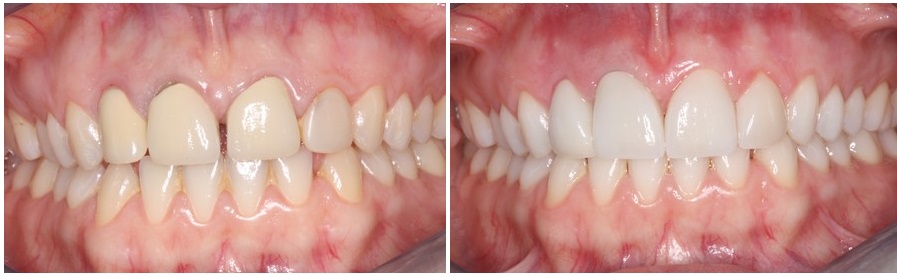
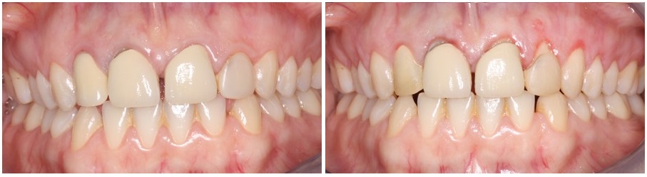
 αρχική κατάσταση-μεταλλοκεραμικές στεφάνες και όψεις ρητίνης

Τα προβλήματα που έπρεπε να αντιμετωπίσουμε ήταν:

  • το διάστημα ανάμεσα στα κεντρικούς τομείς, 
  • η υφίζηση του ούλου στον πλάγιο τομέα λόγω της παλαιάς στεφάνης. Η υφίζηση είχε ως αποτέλεσμα  ο πλάγιος να δείχνει πιο μεγάλος σε σχέση με τον αντίστοιχο της άλλης πλευράς 
  • οι κεντρικοί τομείς ήταν ήδη αρκετά πλατιά δόντια

Για τους παραπάνω λόγους αποφασίσαμε πριν προχωρήσουμε στην αντικατάσταση των στεφανών να εργαστούμε στο περίγραμμα των ούλων.

Η υγεία και η θέση των ούλων είναι καθοριστικοί παράγοντες για την αισθητική των δοντιών

Προχωρήσαμε σε μια επιμήκυνση μύλης η οποία είχε περιορισμούς λόγω των ιδιαιτεροτήτων του περιστατικού, αλλά πέτυχε να μακρύνει τα δόντια.

Μεγαλώνοντας το μήκος των δοντιών, μπορούμε ευκολότερα να αυξήσουμε το πλάτος τους χωρίς να δημιουργούμε πολύ πλατιά δόντια.

Σκοπός μας ήταν να φέρουμε τα ούλα στα 4 πρόσθια άνω δόντια στο ίδιο περίπου ύψος. Σημείο αναφοράς ήταν ο πλάγιος τομέας, του οποίου του ούλο είχε μετακινηθεί λόγω κακοτεχνίας της παλαιάς στεφάνης. 

Συνήθως επιθυμούμε το ούλο στους δύο κεντρικούς τομείς να βρίσκεται στο ίδιο επίπεδο με τους κυνόδοντες και τα ούλα των πλάγιων τομέων να βρίσκονται λίγο πιο κάτω από τους κεντρικούς.

Στην αριστερή φωτογραφία βλέπουμε την αρχική εικόνα των στεφανών και των ούλων, και στην δεξιά βλέπουμε την θέση των ούλων μετά την μετακίνηση τους με μια ήπια τεχνική επιμήκυνσης μύλης από περιοδοντολόγο. 

 αρχική κατάσταση και διαμόρφωση ούλων

Όσο περιμέναμε την ωρίμανση των ούλων, το εργαστήριο κατασκεύασε σε ένα γύψινο ομοίωμα του στόματος μια προσομοίωση της τελικής αποκατάστασης με κερί, την οποία βλέπουμε αριστερά στην φωτογραφία που ακολουθεί. 

Το μοντέλο αυτό χρησιμοποιήθηκε για να κατασκευάσουμε τις  προσωρινές εργασίες που βλέπουμε στην φωτογραφία δεξιά, οι οποίες τοποθετήθηκαν στο στόμα αμέσως μετά την αφαίρεση των παλαιών στεφανών.

διαγνωστικό κέρωμα και προσωρινές στεφάνες

Η χρήση προσωρινών στεφανών είναι απαραίτητη, αφενός γιατί η ασθενής μας δεν μπορεί να μείνει χωρίς αποκατάσταση μετά την αφαίρεση των παλαιών στεφανών, αλλά και γιατί πρέπει να εξετάσουμε αν το αποτέλεσμα που σκοπεύουμε να αποδώσουμε ικανοποιεί την ασθενή μας και τις αισθητικές της ανάγκες.

Στο διάστημα που η ασθενής χρησιμοποιεί τις προσωρινές στεφάνες, η θέση των ούλων σταθεροποιείται και οι ιστοί ωριμάζουν.  

Οι τελικές προσθετικές εργασίες ήταν ολοκεραμικές στεφάνες και μια όψη πορσελάνης. Αν δεν υπήρχαν ήδη στεφάνες στα δόντια, θα μπορούσαμε να αντιμετωπίσουμε εξ αρχής το αισθητικό πρόβλημα με όψεις πορσελάνης, αλλά το ότι τα δόντια είχαν τροχιστεί έκανε τις στεφάνες μοναδική επιλογή.

Στην εικόνα αριστερά βλέπουμε τις ολοκεραμικές εργασίες  ενώ δεξιά βλέπουμε το χαμόγελο της ασθενούς με τις προσθετικές εργασίες τοποθετημένες στο στόμα.

ολοκεραμικές στεφάνες και όψη πορσελάνης

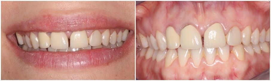
Το αρχικό και τελικό αποτέλεσμα απεικονίζεται στις φωτογραφίες που ακολουθούν:

κλείσιμο διαστήματος, πριν και μετά

σχεδιασμός χαμόγελου, πριν και μετά με ολοκεραμικές στεφάνες

Σας αρέσει το αποτέλεσμα; Αντιμετωπίζεται παρόμοια προβλήματα με την αισθητική των δοντιών σας;

Επικοινωνήστε μαζί μας και θα χαρούμε πολύ να απαντήσουμε στις απορίες σας.

Δόμνα Ευαγγελίδου, Προσθετολόγος

Λάβδα Μαρίτα, Περιοδοντολόγος