Πως κλείνει το κενό στα δόντια εύκολα και γρήγορα;



Διορθώστε τα κενά στα δόντια με σύνθετη ρητίνηΈχουμε μιλήσει ξανά για το κενό ανάμεσα στα δόντια και για τους τρόπους με τους οποίους αντιμετωπίζεται, σε παλαιότερη ανάρτηση.

Θα δούμε εδώ εκτενέστερα, την διόρθωση του κενού στα δόντια με τον πιο εύκολο και οικονομικό τρόπο με αφορμή κάποια περιστατικά που αντιμετώπισα πρόσφατα στο ιατρείο.

Διόρθωση του κενού ανάμεσα στα δόντια μπορεί να γίνει απλά και γρήγορα με προσθήκη στο δόντι σύνθετης ρητίνης, με τέτοιο τρόπο ώστε να κλείσουμε το κενό και παράλληλα να αποδώσουμε ένα ωραίο αισθητικό σχήμα στην περιοχή που εργαζόμαστε.

Κάθε περίπτωση είναι μοναδική και ανάλογα με τις ανάγκες, αποφασίζουμε αν θα καλύψουμε μέρος ή και ολόκληρη την εξωτερική επιφάνεια του δοντιού με ρητίνη. 

Υπάρχουν περιπτώσεις που οι ασθενείς επιθυμούν να κλείσουν το κενό με την λιγότερη δυνατή παρέμβαση στα δόντια τους οπότε και καλύπτουμε μόνο την επιφάνεια του δοντιού που βρίσκεται κοντά στο κενό.

Σε άλλες περιπτώσεις υπάρχει ανάγκη να διορθωθούν παράλληλα και άλλα μειονεκτήματα αισθητικής φύσεως οπότε καλύπτουμε μεγαλύτερη επιφάνεια του δοντιού.

Σε  κάθε περίπτωση το αποτέλεσμα πρέπει να είναι φυσικό και απόλυτα αισθητικό.

Στο πρώτο περιστατικό της φωτογραφίας που ακολουθεί, ρητίνη τοποθετήθηκε μόνο στις επιφάνειες του δοντιού που βρίσκονται δίπλα στο κενό, χωρίς να καλυφθεί  όλη η παρειακή επιφάνεια του δοντιού.

Με αυτό τον τρόπο τα δόντια διατηρούν το σχήμα και το φυσικό τους χρώμα ενώ το χαμόγελο διατηρεί αναλλοίωτο τον χαρακτήρα του.

Κενό στα δόντια και διόρθωση με όψεις ρητίνης

Δίνουμε μεγάλη προσοχή ώστε το χρώμα της ρητίνης να αποδίδει σωστά το χρώμα του δοντιού ενώ το τελείωμα και το γυάλισμα της αποκατάστασης είναι σχολαστικό ώστε η αποκατάσταση με ρητίνη να μην μπορεί να ξεχωρίσει από το υπόλοιπο δόντι.

Παράλληλα δημιουργούνται οι απαραίτητες συνθήκες ώστε να μην επηρεάζονται τα ούλα και δημιουργούνται φλεγμονές.

Κενό στα δόντια και διόρθωση με όψεις ρητίνης

Στις περισσότερες περιπτώσεις  κενού ανάμεσα στους κεντρικούς τομείς, σύνθετη ρητίνη πρέπει να τοποθετηθεί και στα δύο δόντια που βρίσκονται δίπλα στο κενό, ώστε ο χώρος να μοιραστεί και στα δύο δόντια και το αποτέλεσμα να είναι δόντια συμμετρικά. 

Όταν κλείνουμε τα κενά, τα δόντια αλλάζουν μέγεθος αλλά διατηρούν την μορφολογία τους, γιατί  αντιγράφουμε με την ρητίνη την ανατομία του δοντιού ανάλογα με την θέση του. Άλλη για παράδειγμα ανατομία θα αποδώσουμε σε ένα κεντρικό τομέα, άλλη σε έναν πλάγιο τομέα ή σε έναν κυνόδοντα.

Ο ασθενής στο περιστατικό που ακολουθεί, είχε κενά ανάμεσα στους κεντρικούς τομείς, αλλά και κενά ανάμεσα στους πλάγιους τομείς και στους κυνόδοντες. Παράλληλα οι πλάγιοι τομείς είχαν κλίση προς τα έξω ενώ ιδανικά τα δόντια έπρεπε να είναι πιο όρθια.

Κενό στα δόντια και διόρθωση με όψεις ρητίνης

Στα δύο μπροστινά δόντια τοποθετήθηκε μικρή ποσότητα σύνθετης ρητίνης, αντίστοιχα  μόνο με το διάστημα ενώ αφήσαμε ακάλυπτη την υπόλοιπη επιφάνεια του δοντιού.

Στους πλάγιους τομείς όμως κάναμε όψεις ρητίνης που κάλυψαν όλη την παρειακή επιφάνεια του δοντιού, ώστε εκτός από το κενό να διορθώσουμε και την κλίση του δοντιού και να δώσουμε μήκος στα δόντια που ήταν πιο κοντά.

Ακόμη και σε αυτές τις μεγαλύτερες σε έκταση αποκαταστάσεις, διατηρούμε την ανατομία και το σχήμα του δοντιού, με σκοπό να ενταχθούν οι όψεις ρητίνης  στο χαμόγελο του ασθενούς, χωρίς να ξεχωρίζουν ακόμη και σε μια κοντινή λήψη όπως φαίνεται στην φωτογραφία που ακολουθεί. 

Κενό στα δόντια και διόρθωση με όψεις ρητίνης

Κενό ανάμεσα στα δόντια μπορεί να υπάρχει και σε άλλα σημεία που φαίνονται στο χαμόγελο ή στην ομιλία. Δεν είναι απαραίτητο να καλύπτουμε πολλά δόντια για να κλείσουμε ένα κενό.

Δείτε για παράδειγμα την βελτίωση της εικόνας του χαμόγελου με προσθήκη σύνθετης ρητίνης σε δύο μόνο δόντια που προβλημάτιζαν την ασθενή μου . Παρόμοια τεχνική με τοποθέτηση μερικής όψης σύνθετης ρητίνης εφαρμόστηκε και στα δόντια που βλέπουμε στην ακόλουθη φωτογραφία.

Η τοποθέτηση της ρητίνης πρέπει να ξεκινά κάτω από τα ούλα και να επιτρέπει σε αυτά να έχουν υγεία. Πρέπει επίσης να επιτρέπει στο οδοντικό νήμα να διέρχεται χωρίς δυσκολία και φθορά, ώστε η περιοχή να διατηρείτε εύκολα καθαρή.

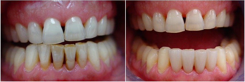
Κενό στα δόντια και διόρθωση με όψεις ρητίνης

Στην ασθενή της επόμενης φωτογραφίας για παράδειγμα, το κενό που την προβλημάτιζε, ήταν στα κάτω μπροστινά της δόντια.

Διορθώθηκε και αυτό με προσθήκη ρητίνης χωρίς να χρειαστεί να τροχιστεί κανένα δόντι και χωρίς να καλυφθεί μεγάλος αριθμός δοντιών. Κενό στα κάτω δόντια και διόρθωση με όψεις ρητίνης

Όταν τα δόντια έχουν δυσχρωμίες και άλλα προβλήματα όπως μεγάλα σφραγίσματα τότε η κάλυψη της οδοντικής επιφάνειας είναι μεγαλύτερη σε έκταση και φτάνει να καλύπτει όλη την εξωτερική επιφάνεια του δοντιού.

Σε αυτή την περίπτωση θαυμάσια εναλλακτική των όψεων ρητίνης είναι και οι όψεις πορσελάνης όπως στο περιστατικό που ακολουθεί, όπου όψεις πορσελάνης τοποθετήθηκαν στα κάτω πρόσθια δόντια μιας και αυτά τα κενά ενοχλούσαν την ασθενή μου γιατί φαινόταν καθώς μιλούσε. 

Κενό στα κάτω δόντια και διόρθωση με όψεις πορσελάνης

Οι όψεις ρητίνης μπορεί να δημιουργήσουν προβλήματα αν δεν κατασκευαστούν με προσοχή, και παρά το ότι είναι γρήγορη θεραπεία και ολοκληρώνονται σε ένα ραντεβού, πρέπει να κατασκευάζονται με μεγάλη προσοχή ώστε να πετύχουμε ένα σωστό αποτέλεσμα, αισθητικά και λειτουργικά. 

Δείτε επίσης το παρακάτω βίντεο που θα σας βοηθήσει να ενημερωθείτε περισσότερο για το θέμα :

Έχετε κάποια απορία για τις όψεις ρητίνης;  Γράψτε την στα σχόλια ή επικοινωνήστε μαζί μας και θα χαρούμε να σας βοηθήσουμε.

Δόμνα Ευαγγελίδου, Προσθετολόγος








ΔΙΑΔΩΣΕ ΤΟ

Submit to FacebookSubmit to TwitterSubmit to LinkedIn