Αλλάξτε το χαμόγελο σας! Τι και αν δεν πέτυχε στο παρελθόν!



 

Μερικές φορές αναζητώντας λύσεις για αισθητικά προβλήματα που μας ταλαιπωρούν, επιλέγουμε θεραπείες που δεν συμπεριφέρονται καλά στον χρόνο.

Έτσι και η Α. είχε 4 μπροστινά δόντια με απονευρώσεις, παλαιά σφραγίσματα και αποχρωματισμούς, όταν αποφάσισε να φτιάξει 4 όψεις σε κάποιον άλλο συνάδελφο στο εξωτερικό προκειμένου να βελτιώσει το χαμόγελο της.

Το αποτέλεσμα ήταν ικανοποιητικό για την ασθενή στην αρχή, μετά όμως από λίγο χρόνο οι όψεις άρχισαν να ξεκολλούν ενώ τα ούλα ήταν συνεχώς κόκκινα και μάτωναν, παρά την σχολαστική υγιεινή της ασθενούς.

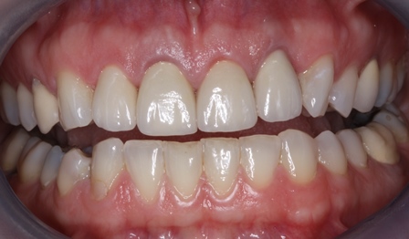
Όψεις πορσελάνης με παραβίαση βιολογικού εύρους πρόσφυσης

Η ασθενής ήρθε στο ιατρείο για να της κολλήσω μια ξεκολλημένη όψη, όταν με την εξέταση διαπίστωσα πως το μέγεθος των δοντιών ήταν πολύ μικρό και τα δόντια έμοιαζαν με δόντια μικρού παιδιού. Οι κεντρικοί τομείς είχαν χάσει την κυριαρχία τους και τα 4 μπροστινά δόντια είχαν όλα περίπου το ίδιο μέγεθος. 

Τα δόντια είχαν τροχιστεί τόσο βαθιά μέσα στα ούλα που είχε παραβιαστεί το βιολογικό εύρος πρόσφυσης τους, δηλ. ο ζωτικός χώρος που τα ούλα χρειάζονται για να είναι υγιή.

Διαπίστωσα επίσης, πως είχε αφαιρεθεί τόση οδοντική ουσία από τα δόντια, ώστε οι όψεις πορσελάνης δεν ήταν ενδεικνυόμενη θεραπεία για την ασθενή πλέον. Αυτός άλλωστε ήταν ο λόγος που οι όψεις ξεκολλούσαν συχνά.

Οι νέες αποκαταστάσεις έπρεπε να περιβάλλουν όλη την οδοντική ουσία για να λειτουργήσουν σωστά. Αυτές οι μικρές προσθετικές εργασίες που αποφασίσαμε να χρησιμοποιήσουμε στην περίπτωση της Α., λέγονται στεφάνες.

Στεφάνες ζιρκονίου μετά από επιμύκυνση μύληςΞεκινήσαμε την θεραπεία με μια μικρή χειρουργική θεραπεία για να αποκαταστήσουμε την υγεία των ούλων και να αποδώσουμε στο περίγραμμα των ούλων τα χαρακτηριστικά που του έλειπαν ώστε να φαίνονται ωραία στο χαμόγελο. Η διαδικασία που ονομάζεται επιμήκυνση μύλης γίνεται από εξειδικευμένο περιοδοντολόγο.

Χρησιμοποιήσαμε επίσης προσωρινές στεφάνες οι οποίες αύξησαν το μέγεθος των δοντιών σε μήκος και άλλαξαν την ισορροπία μεταξύ τους ώστε οι κεντρικοί τομείς να είναι μεγαλύτεροι από τους πλάγιους. Οι προσωρινές στεφάνες είναι ένα εξαιρετικό εργαλείο για τον σχεδιασμό του χαμόγελου γιατί επιτρέπουν τροποποιήσεις μέχρι η ασθενής να μείνει ευχαριστημένη και να προχωρήσουμε στις μόνιμες στεφάνες.

Η ασθενής χρησιμοποίησε τις στεφάνες περισσότερο από ένα μήνα μέχρι να βεβαιωθεί πως το νέο σχήμα ήταν ικανοποιητικό για εκείνη. Παράλληλα τα ούλα ωρίμαζαν πριν το οριστικό αποτύπωμα.

Όταν τα ούλα απέκτησαν υγεία και σταθερότητα, προχωρήσαμε στην κατασκευή 4 στεφανών ζιρκονίας, που είναι ολοκεραμικές, φτιαγμένες δηλ. μόνο από πορσελάνη και μπορούν να αποδώσουν ιδανικά την αισθητική των πρόσθιων δοντιών . 

Αλλάξτε χαμόγελο!

Το χαμόγελο της ασθενούς μας πριν και μετά την θεραπεία, αποδεικνύει πως ακόμη κι αν είχατε μια κακή οδοντιατρική εμπειρία στο παρελθόν, δεν πρέπει να απογοητεύεστε.  

Υπάρχουν λύσεις, αρκεί να απευθυνθείτε σε γιατρούς που μπορούν να σας βοηθήσουν με την γνώση και την εμπειρία τους.

Διαβάστε περισσότερα για τα προβλήματα των ούλων που δημιουργούνται από τις προσθετικές εργασίες εδώ, και πείτε μας αν έχετε αντιμετωπίσει παρόμοιο πρόβλημα.








ΔΙΑΔΩΣΕ ΤΟ

Submit to FacebookSubmit to TwitterSubmit to LinkedIn