Υπάρχουν περιστατικά στα οποία όλα τα δόντια πρέπει να εξαχθούν, είτε γιατί είναι πολύ κατεστραμμένα είτε γιατί το οστό που στηρίζει τα δόντια έχει απορροφηθεί.
Η παραδοσιακή προσθετική λύση σε αυτές τις περιπτώσεις είναι η ολική οδοντοστοιχία, η οποία μάλιστα μπορεί να κατασκευαστεί πριν από την εξαγωγή των δοντιών και να παραδοθεί στον ασθενή αμέσως μετά την εξαγωγή, ώστε η/ο ασθενής να μην μείνει χωρίς δόντια ούτε στιγμή. Αυτή η οδοντοστοιχία ονομάζεται άμεση οδοντοστοιχία.
Κάποιοι από τους ασθενείς μας συνηθίζουν την οδοντοστοιχία και συνεχίζουν την ζωή τους με αυτή, ενώ πολλοί αποφασίζουν να την χρησιμοποιήσουν σαν ένα ενδιάμεσο στάδιο θεραπείας μέχρι να αποκτήσουν καινούργια δόντια που στηρίζονται σε οδοντικά εμφυτεύματα.
Υπάρχει όμως και μια ομάδα ασθενών οι οποίοι χάνουν όλα τα δόντια τους, επιθυμούν να βάλουν εμφυτεύματα αλλά αρνούνται να χρησιμοποιήσουν οδοντοστοιχία.
Σε τέτοιους ασθενείς έχουμε εφαρμόσει με επιτυχία το θεραπευτικό πρωτόκολλο της άμεσης φόρτισης, που όμως είναι αρκετά αυστηρό και μπορεί να χρησιμοποιηθεί μόνο όταν πληρούνται κάποιες προϋποθέσεις.
Σήμερα, με αφορμή την περίπτωση ενός ασθενούς του ιατρείου μας, θα δούμε μια ακόμη εναλλακτική λύση που βοηθάει τους ασθενείς να περάσουν με επιτυχία το στάδιο της απώλειας των φυσικών δοντιών χωρίς να φορέσουν οδοντοστοιχία, ενώ παράλληλα προχωρούν στην θεραπεία με οδοντικά εμφυτεύματα.
Ο ασθενής γνώριζε πως τα δόντια του έπρεπε να εξαχθούν λόγω περιοδοντίτιδας και ήθελε να βάλει εμφυτεύματα. Όλα τα δόντια έπρεπε να εξαχθούν αλλά δεν ήθελε σε καμμία περίπτωση να φορέσει οδοντοστοιχία.
Η ποσότητα και η ποιότητα του διαθέσιμου οστού μας έκανε να αποφασίσουμε πως στο συγκεκριμένο περιστατικό, η λύση της άμεσης φόρτισης των εμφυτευμάτων, δεν ήταν εφικτή. Πως μπορούσε όμως να αποφύγει την χρήση μια ολικής οδοντοστοιχίας;
Ξεκινήσαμε την θεραπεία με εξαγωγή των οπισθίων δοντιών και την τοποθέτηση εμφυτευμάτων στην θέση τους. Στο στάδιο αυτό ο ασθενής έμεινε με όλα τα πρόσθια δόντια και κάποια από τα οπίσθια δόντια.
Βλέπουμε στην φωτογραφία που ακολουθεί αριστερά, τα εμφυτεύματα στην θέση των πίσω δοντιών ενώ δεξιά βλέπουμε εμφυτεύματα που τοποθετήθηκαν μετά την εξαγωγή των δοντιών κάτω από ακινητοποιημένα με σύρμα δόντια.

Στο στάδιο της τοποθέτησης των εμφυτευμάτων πήραμε ένα αποτύπωμα των εμφυτευμάτων, με το οποίο οι συνεργάτες μας στο οδοντοτεχνικό εργαστήριο κατασκεύασαν μια προσωρινή ακίνητη εργασία.
Η εργασία αυτή είχε ακριβώς τα ίδια χαρακτηριστικά με τα φυσικά δόντια, όπως φαίνεται στην επόμενη φωτογραφία. Διατήρησε την θέση των δοντιών ακόμη και τις ατέλειες τους, ώστε να φαίνεται φυσική και στηρίζονταν στα εμφυτεύματα που τοποθετήθηκαν στο πρώτο στάδιο.

Όταν ολοκληρώθηκε η οστεοενσωμάτωση των 6 εμφυτευμάτων, προγραμματίστηκε η εξαγωγή των μπροστινών δοντιών. Παράλληλα τοποθετήθηκαν και δύο επιπλέον εμφυτεύματα σύμφωνα με το αρχικό σχέδιο θεραπείας.
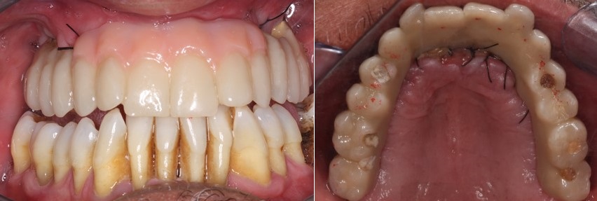
Τότε η προσωρινή προσθετική εργασία παραδόθηκε στο στόμα.
Βλέπουμε στην φωτογραφία που ακολουθεί την εικόνα του στόματος αμέσως μετά την εξαγωγή και την παράδοση αυτής της προσωρινής εργασίας.

Στην επόμενη φωτογραφία βλέπουμε το χαμόγελο του ασθενούς , πριν και αμέσως μετά την εξαγωγή των φυσικών δοντιών και την παράδοση της τελικής εργασίας.

Οι αλλαγές στην εικόνα του χαμόγελου είναι ελάχιστες και ουσιαστικά βελτιώνουν την εικόνα του χαμόγελου διατηρώντας παράλληλα την φυσικότητα του φραγμού.
Ο ασθενής διατήρησε την ικανότητα του να μασάει, να μιλάει και να λειτουργεί άνετα ενώ η εικόνα του χαμόγελου και του προσώπου του δεν άλλαξαν καθόλου.
Μην διστάσετε να μιλήσετε στον οδοντίατρο σας για τους προβληματισμούς σας. Μπορούμε να σας βοηθήσουμε εξατομικεύοντας την θεραπεία ανάλογα με τις ανάγκες σας. Επικοινωνήστε μαζί μας και με χαρά θα σας βοηθήσουμε.
Δόμνα Ευαγγελίδου, Προσθετολόγος-Οδοντίατρος







