Ένα καινούργιο χαμόγελο χωρίς σιδεράκια



καινούργιο χαμόγελο χωρίς σιδεράκιαΜερικές φορές το να αποκτήσει κανείς ένα καινούργιο χαμόγελο φαίνεται πολύ δύσκολο.

Πολλοί ασθενείς μας σκέφτονται πως η θεραπεία θα είναι πολύ ακριβή ή πως θα περιλαμβάνει απαιτητικό τρόχισμα των δοντιών. Η αλήθεια είναι πως σε πολλά περιστατικά η αποκατάσταση ενός υγιούς χαμόγελου μπορεί να γίνει με μικρά βήματα και με απλό τρόπο.

Αυτό που χρειάζεται, είναι ένας οδοντίατρος που θα σκεφτεί εναλλακτικές λύσεις κατάλληλα προσαρμοσμένες σε κάθε ασθενή και στις ιδιαιτερότητες του.

Παρουσιάζουμε σήμερα ένα περιστατικό που αντιμετωπίστηκε στο ιατρείο μας οικονομικά και σε μικρό χρονικό διάστημα χωρίς να χρειαστεί ορθοδοντική παρέμβαση, δηλ. σιδεράκια.

Η Ν. ήρθε στο ιατρείο με μεγάλο δισταγμό. Ήταν πολύ απογοητευμένη με το χαμόγελο της γιατί τα δόντια της ήταν στραβά και δυσχρωμικά.

Είχε απευθυνθεί σε ορθοδοντικό αλλά αποφάσισε πως δεν επιθυμούσε ορθοδοντική θεραπεία γιατί ήταν ήδη 25 χρονών και θα δεν ένιωθε άνετα στην ιδέα να βάλει σιδεράκια. Δεν ήθελε μεγάλες αλλαγές στο χαμόγελο της, ήθελε όμως να έχει λευκά και ίσια δόντια χωρίς να ξοδέψει πολλά χρήματα. 

δυσχρωμικά στραβά δόντια-αισθητική οδοντιατρική   

Μελετώντας το περιστατικό, παρατηρήσαμε πως:

  • Δύο μπροστινά δόντια, ένας κεντρικός τομέας και ο διπλανός του πλάγιος είχαν απονευρωθεί παλαιότερα και γι αυτό με το πέρασμα του χρόνου είχαν αποκτήσει το χαρακτηριστικό χρώμα των απονευρωμένων δοντιών.
  • Οι πλάγιοι τομείς και στις δύο πλευρές βρισκόταν πίσω από τα κάτω δόντια όταν η ασθενής έκλεινε το στόμα της.
  • Τα ούλα ήταν υγιή αλλά δεν βρισκόταν στην σωστή θέση λόγω της μη σωστής θέσης των δοντιών.
  • Το χαμόγελο της Ν. ήταν ουλικό, δηλ. δόντια και ούλα φαίνονταν πολύ όταν χαμογελούσε πλατιά. 

 

Ξεκινήσαμε την αποκατάσταση με παρέμβαση στα ούλα από ειδικό περιοδοντολόγο. Η σωστή θέση των ούλων δημιουργεί το ιδανικό περίγραμμα για τα καινούργια δόντια. Όταν η περιοχή των ούλων δεν φαίνεται στο χαμόγελο τότε οι ασθενείς μας επιλέγουν αν επιθυμούν ή όχι την διόρθωση του επιπέδου τους. Αν όμως τα ούλα φαίνονται στο χαμόγελο, η σωστή  θέση των ούλων είναι απαραίτητη ώστε τα καινούργια δόντια να είναι όμορφα και το τελικό αποτέλεσμα ικανοποιητικό.

Η διόρθωση του επιπέδου των ούλων στην περίπτωση της Ν.  ήταν απαραίτητη, γιατί μας έδινε περισσότερη οδοντική ουσία για να δουλέψουμε στα επόμενα βήματα και δημιουργούσε ένα ιδανικό πλαίσιο για να αναδειχθούν τα καινούργια δόντια.

Βλέπετε στην φωτογραφία το αποτέλεσμα μετά την διόρθωση των ούλων και την λεύκανση που ακολούθησε.

επιμύκηνση μύλης σε πρόσθια δόντια

Η αποκατάσταση των ούλων γίνεται σε ένα ραντεβού διάρκειας μιας ώρας και ακολουθεί μια περίοδος 40 περίπου ημερών στο διάρκεια των οποίων περιμένουμε τους ιστούς να ωριμάσουν.

Όταν τα ούλα ήρθαν στην σωστή θέση, προχωρήσαμε σε λεύκανση των δοντιών.Η λεύκανση έγινε αρχικά σε όλα τα δόντια και διήρκεσε περίπου δύο εβδομάδες.Με την λεύκανση τα απονευρωμένα δόντια αντέδρασαν θετικά όχι όμως στον ίδιο βαθμό. Έτσι ενώ ο κεντρικός τομέας λευκάνθηκε ικανοποιητικά, ο πλάγιος διατηρούσε ακόμη το πιο σκούρο χρώμα του. Προχωρήσαμε τότε σε εσωτερική λεύκανση του δοντιού, το οποίο σε δύο μόλις συνεδρίες απέκτησε χρώμα ίδιο με τα υπόλοιπα δόντια.

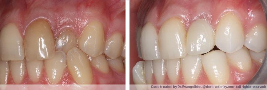
Ήταν τότε η κατάλληλη στιγμή για να προχωρήσουμε στις όψεις πορσελάνης. Η ασθενής δεν επιθυμούσε παρέμβαση σε όλα τα δόντια της, άλλωστε δεν ήταν και απαραίτητο. Αποφασίσαμε να δουλέψουμε στους δύο πλάγιους τομείς, τα δόντια που ήταν στραβά προς τα μέσα και κρυβόταν πίσω από τα κάτω δόντια όταν δάγκωνε. Αφαιρέσαμε το τμήμα του δοντιού που κρυβόταν πίσω από τα τα κάτω δόντια και τροχίσαμε ελάχιστα τα δόντια στην εξωτερική τους μόνο πλευρά.

Στην συνέχεια κατασκευάσαμε δύο όψεις πορσελάνης για τα δόντια αυτά και ολοκληρώσαμε την θεραπεία.αισθητική οδοντιατρική-πριν και μετά

Βλέπουμε στην άνω φωτογραφία την δεξιά πλευρά του στόματος, πριν και μετά την ολοκλήρωση της θεραπείας. Παρατηρήστε την βελτίωση της θέσης του ούλου στον πλάγιο τομέα. Η ιδανική θέση του ούλου ενός πλάγιου τομέα είναι λίγο πιο κάτω από το ούλα στον κεντρικό τομέα και στον κυνόδοντα. Τα δόντια απέκτησαν πιο λευκό χρώμα με την λεύκανση ενώ με την όψη πορσελάνης το δόντι ήρθε στην σωστή θέση στο τόξο, χωρίς να παρεμβαίνει στην σύγκλειση της ασθενούς. 

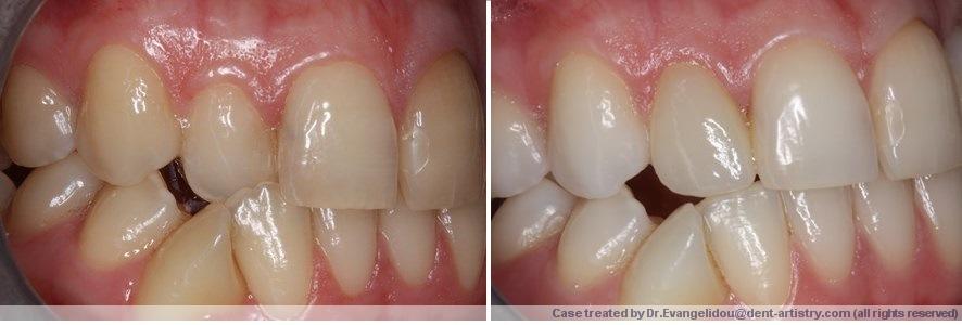
Ο αριστερός πλάγιος τομέας ήταν πιο απαιτητικός. Με τον ίδιο τρόπο όπως και ο αριστερός ήρθε στην σωστή θέση στο τόξο και έπαψε να παρεμβάλλεται στην σύγκλειση της ασθενούς.

αισθητική οδοντιατρική-πριν και μετά

Η εικόνα των πρόσθιων δοντιών έξι μήνες μετά την ολοκλήρωση της θεραπείας δείχνει την διατήρηση του αποτελέσματος και το φυσικό αποτέλεσμα. Η θεραπεία κράτησε συνολικά 3 μήνες με 6 ραντεβού στο ιατρείο.Ήταν απλή και περιλάμβανε ουσιαστικά τροποποιήσεις σε δύο μόνο δόντια.

Όλα τα χαρακτηριστικά του χαμόγελου της ασθενούς διατηρήθηκαν και το κόστος ήταν πολύ προσιτό. Το καλό αποτέλεσμα σε ένα τέτοιο περιστατικό, οφείλεται στον σωστό σχεδιασμό των οδοντιατρικών πράξεων και στην σωστή εκτέλεση τους.

Για το τέλος δεν μπορώ να μην επαναλάβω την αρχική και τελική φωτογραφία του χαμόγελου της Ν.

Σας αρέσει;

όψεις πορσελάνης, πριν και μετά