Διάβρωση των δοντιών, είναι η απώλεια της οδοντικής ουσίας από χημικά αίτια.
Τα υπεύθυνα χημικά αίτια είναι τα οξέα, που προκαλούν αρχικά φθορά της αδαμαντίνης και σε προχωρημένα στάδια και φθορά της οδοντίνης.
Στην στοματική κοιλότητα, τα οξέα είναι συνήθως αποτέλεσμα συχνών εμετών από διατροφική διαταραχή, υπερέμεση κύησης ή από γαστροοισοφαγική παλινδρόμηση.
Οξέα μπορεί να βρεθούν στην στοματική κοιλότητα και από εξωγενή αίτια, όπως από ανθρακούχα αναψυκτικά και ενεργειακά ποτά ή από όξινα φρούτα που όταν καταναλώνονται συστηματικά και σε μεγάλες ποσότητες μπορεί να αποδειχτούν καταστροφικά. Κατά περίπτωση και άλλες ουσίες μπορεί να ενοχοποιηθούν για την διάβρωση των δοντιών, όπως για παράδειγμα το χλώριο της πισίνας σε επαγγελματίες αθλητές κολυμβητές.
Η διάβρωση των δοντιών προκαλεί αλλαγές στα δόντια σταδιακά και τα αποτελέσματα χρειάζονται χρόνο γα να γίνουν αντιληπτά από τους ασθενείς. Οι αλλαγές εμφανίζονται αρχικά στα δόντια της άνω γνάθου και σε προχωρημένο βαθμό και στα δόντια της κάτω γνάθου.
Οι ασθενείς συνήθως κινητοποιούνται και απευθύνονται στον οδοντίατρο, όταν παρατηρούν:
- Αλλαγή της μορφολογίας των δοντιών. Τα δόντια χάνουν την ανατομικότητα τους, γίνονται πιο λεπτά και το κοπτικό άκρο των μπροστινών δοντιών γίνεται διαφανές και σπάει εύκολα.
- Αλλαγή του χρώματος των δοντιών. Η απώλεια της αδαμαντίνης από την διάβρωση, επιτρέπει στην πιο έντονα χρωματισμένη οδοντίνη που είναι το αμέσως επόμενο στρώμα κάτω από την αδαμαντίνη, να φαίνεται περισσότερο. Έτσι τα διαβρωμένα δόντια φαίνονται προοδευτικά πιο κίτρινα.
- Ευαισθησία στο ζεστό και στο κρύο.
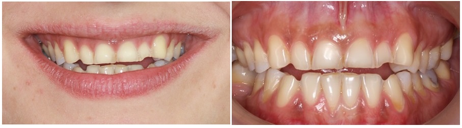
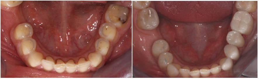
Βλέπετε στην φωτογραφία που ακολουθεί, εικόνα δοντιών με σημαντική διάβρωση που έχει προκληθεί από εμετούς. Στις εικόνες μπορούμε να παρατηρήσουμε τα χαρακτηριστικά της διάβρωσης, όπως το εντονότερο χρώμα των δοντιών στα σημεία όπου χάθηκε η αδαμαντίνη και την αλλαγή της μορφολογίας των δοντιών.

Παλαιότερα, τα προβλήματα της διάβρωσης των δοντιών αντιμετωπίζονταν με στεφάνες, οι οποίες απαιτούσαν περαιτέρω αφαίρεση οδοντικής ουσίας πριν τοποθετηθούν σε κάθε δόντι ξεχωριστά.
Σε κάποιες περιπτώσεις ήταν απαραίτητο να προχωρήσουμε σε ενδοδοντικές θεραπείες των δοντιών ή και σε χειρουργικές τεχνικές επιμήκυνσης της μύλης των δοντιών, προκειμένου να βρεθεί η ποσότητα της οδοντικής ουσίας που χρειαζόμαστε για να στηρίξουμε τις στεφάνες.
Ένα τέτοιο περιστατικό βλέπετε στις φωτογραφίες που ακολουθούν. Αποκαταστάθηκε πριν από 15 χρόνια με στεφάνες που κάλυπταν όλη την οδοντική επιφάνεια κάθε δοντιού ξεχωριστά. Η κατασκευή στεφανών για κάθε δόντι είναι μια χρήσιμη πρακτική αλλά αρκετά παρεμβατική για δόντια που είχαν ήδη σημαντική φθορά από την διάβρωση.


Τα τελευταία χρόνια, με την εξέλιξη στην συγκόλλησης των προσθετικών εργασιών στα δόντια, μπορούμε να τοποθετήσουμε σε αυτά πολύ λεπτές εργασίες, φτιαγμένες από πορσελάνη ή από σύνθετη ρητίνη, οι οποίες δεν απαιτούν περαιτέρω αφαίρεση οδοντικής ουσίας από αυτή που έχει ήδη χαθεί απο την διαβρωση. Τέτοιες εργασίες είναι τα ένθετα και τα επένθετα και οι όψεις πορσελάνης.
Θα δούμε εδώ την περίπτωση μιας ασθενούς, η οποία είχε σημαντική απώλεια οδοντικής ουσίας από διάβρωση και θεραπεύτηκε με αυτή την σύγχρονη τεχνική.
Η ασθενής ήταν πολύ δυσαρεστημένη από την εικόνα του χαμόγελου της, ενώ δυσκολευόταν κατά την μάσηση καθώς τα δόντια αντιδρούσαν σε όλα τα θερμικά ερεθίσματα, ζεστά και κρύα.
Ο κύριος λόγος που την έκανε να αναζητήσει οδοντιατρική φροντίδα, ήταν αισθητικός. Τα δόντια της ήταν πολύ μικρά στο χαμόγελο και είχαν ανώμαλα κοπτικά άκρα, που φθείρονταν κατά την χρήση, επιδεινώνοντας το πρόβλημα μέρα με την μέρα.

Στα περισσότερα δόντια είχε χαθεί η αδαμαντίνη και σημαντική ποσότητα από την οδοντίνη. Τα δόντια είχαν χάσει τα μορφολογικά τους χαρακτηριστικά, ενώ το ύψος του κάτω τριτημορίου του προσώπου είχε χαθεί.
Παλιά σφραγίσματα προεξείχαν πάνω από τα δόντια, ενώ ταυτόχρονα η ασθενής είχε και κάποια δόντια τερηδονισμένα.

Η διάβρωση είχε προσβάλλει όλα σχεδόν τα δόντια της άνω και κάτω γνάθου.
Σε μια τόσο εκτεταμένη προσθετική εργασία, είναι απαραίτητο να ακολουθήσουμε διαγνωστικά στάδια που θα μας καθοδηγήσουν στην υλοποίηση της.
Ξεκινούμε με mock up, μια τεχνική ενδοστοματικής προσομοίωσης, που μας επιτρέπει να δείξουμε στην ασθενή το χαμόγελο που μπορούμε να δημιουργήσουμε.

Διαπιστώνουμε αν το αποτέλεσμα ικανοποιεί την ασθενή μας και παράλληλα δημιουργούμε έναν οδηγό για να την κατασκευή των μεταβατικών και οριστικών εργασιών που θα τοποθετήσουμε στο στόμα της.

Οι ασθενείς με διάβρωση των δοντιών, επιθυμούν από την πρώτη στιγμή την αισθητική βελτίωση των διαβρωμένων δοντιών.
Είναι όμως πρακτικά αδύνατο να δουλέψουμε με επιτυχία μόνο στα μπροστινά δόντια.
Η διάβρωση ξεκινά από την πίσω επιφάνεια των μπροστινών δοντιών. Ακόμη και να θέλουμε να αντιμετωπίσουμε αποκλειστικά το αισθητικό πρόβλημα των ασθενών μας, δεν μπορούμε να αφήσουμε ακάλυπτη την εκτεθειμένη οδοντίνη στην υπερώια επιφάνεια των δοντιών.
Συνήθως όμως δεν υπάρχει αρκετός χώρος για να .τοποθετήσουμε οποιοδήποτε υλικό αποκατάστασης στην υπερώια πλευρά των μπροστινών δοντιών,
Έτσι στις περισσότερες περιπτώσεις προχωρημένων περιστατικών με διάβρωση, πρέπει να τοποθετήσουμε αποκαταστάσεις αρχικά στα πίσω δόντια, ώστε να δημιουργηθεί ο χώρος που χρειάζεται για να τοποθετηθούν στην συνέχεια αποκαταστάσεις και στα μπροστινά δόντια
Στην περίπτωση της ασθενούς μας, κατασκευάσαμε αρχικά μεταβατικές αποκαταστάσεις από σύνθετη ρητίνη που αύξησαν το ύψος του προσώπου και η ασθενής έμεινε με αυτές ικανό χρόνο, ώστε να βεβαιωθούμε πως το νέο ύψος ήταν ικανοποιητικό και μπορούσε να λειτουργήσει με επιτυχία.

Παράλληλα μας δόθηκε η δυνατότητα να δημιουργήσουμε χώρο στα πρόσθια δόντια, ώστε να χωρέσουν οι αποκαταστάσεις των άνω προσθίων δοντιών.
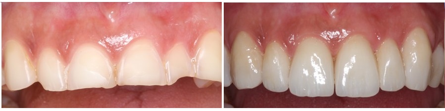
Βλέπουμε στην αριστερή φωτογραφία τις όψεις από ρητίνη που κατασκευάστηκαν για τις υπερώιες επιφάνειες των δοντιών της άνω γνάθου και δεξιά τις όψεις πορσελάνης που τοποθετήθηκαν σε επόμενο στάδιο για την εξωτερική πλευρά των ίδιων δοντιών.

Δημιουργούμε ένα είδος "σάντουιτς" από αποκαταστάσεις, που στο εσωτερικό τους περιέχουν το δόντι της ασθενούς, χωρίς να αφαιρούμε από αυτό επιπλέον οδοντική ουσία.
Η εικόνα των πρόσθιων δοντιών της άνω γνάθου μετά την τοποθέτηση αυτών των αποκαταστάσεων, φαίνεται στην ακόλουθη φωτογραφία.

Ακολούθως αρχίσαμε να αλλάζουμε τις μεταβατικές αποκαταστάσεις των πίσω δοντιών, με μικρές αποκαταστάσεις από πορσελάνη, οι οποίες εκτός από το ότι κάλυπτουν την μασητική επιφάνεια των δοντιών κάλυπτουν και την εξωτερική αποδίδοντας ένα πιο πλήρες χαμόγελο, κοντά στις αισθητικές ανάγκες τις ασθενούς μας.

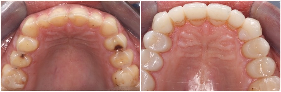
Στις φωτογραφίες που ακολουθούν βλέπουμε την άνω και την κάτω γνάθο γνάθο πριν και μετά την ολοκλήρωση των αποκαταστάσεων.


Η θεραπεία αυτή διαρκεί πολύ χρόνο και είναι απαιτητική τεχνικά.
Προϋποθέτει ακρίβεια και λεπτούς χειρισμούς από τον οδοντίατρο, ενώ από την πλευρά των ασθενών απαιτεί υπομονή και χρόνο.

Το αποτέλεσμα είναι εντυπωσιακό. Η ασθενής μας χαμογελά με αυτοπεποίθηση ενώ τα δόντια δεν είναι πια ευαίσθητα στα θερμικά ερεθίσματα.

Τα βασικά πλεονεκτήματα της συντηρητικής προσθετικής αποκατάστασης της διάβρωσης με ολοκεραμικές εργασίες είναι:
- Μικρή αφαίρεση οδοντικής ουσίας από την ήδη βεβαρημένα από την διάβρωση δόντια
- Απουσία μετάλλου από τις αποκαταστάσεις
- Κάλυψη όλης της εκτεθειμένης οδοντίνης και διατήρηση της αδαμαντίνης στα σημεία που δεν έχουν επηρεαστεί από την διάβρωση
- Διατήρηση της οδοντικής ουσίας ανάμεσα στα δόντια
- Απόδοση όλων των λειτουργικών στοιχείων του στόματος που έχουν χαθεί
Η αποκατάσταση των φθαρμένων δοντιών από την διάβρωση είναι τόσο αποτελεσματική σήμερα, που μπορεί να εφαρμόζεται σε όλους τους ασθενείς που έχουν χάσει σημαντικό μέρος οδοντικής ουσίας με σκοπό να περιορίσει την περαιτέρω απώλεια αυτής αλλά και να αποδώσει τα χαρακτηριστικά των δοντιών που έχουν χαθεί.
Δείτε εδώ ένα ακόμη περιστατικό θεραπείας διαβρωμένων δοντιών από διατροφική διαταραχή που αντιμετωπίσαμε στο ιατρείο.
Δείτε επίσης το αποτέλεσμα σε ένα ηπιότερο περιστατικό διάβρωσης των δοντιών, από εμετούς κατά την διάρκεια της εγκυμοσύνης.
Υποφέρετε από διάβρωση των δοντιών σας; Σκέφτεστε να απευθυνθείτε στον οδοντίατρο σας για να την αντιμετωπίσετε;
Τι σας προβληματίζει;
Δόμνα Ευαγγελίδου, Προσθετολόγος









