Αποτριβή δοντιών και αντιμετώπιση με ελάχιστη παρέμβαση



αποτριβή των δοντιών και αντιμετώπιση με ελάχιστη παρέμβασηΗ φθορά των δοντιών είναι μέχρι ενός σημείου, φυσιολογική διαδικασία.

Τα δόντια έρχονται σε επαφή κατά την χρήση και με το πέρασμα του χρόνου τρίβονται.

Υπάρχει όμως και φθορά των δοντιών που δεν είναι φυσιολογική, ξεκινά πολλές φορές από την νεαρή ακόμη ηλικία και οφείλεται στην άσκηση μεγάλων δυνάμεων από το τρίψιμο ή/ και το σφίξιμο των δοντιών.

Ο τύπος αυτής της φθοράς των δοντιών ονομάζεται αποτριβή, οδηγεί σε σημαντικές αλλαγές στο σχήμα, το μέγεθος των δοντιών και σε προχωρημένο στάδιο αλλοιώνει την εικόνα του χαμόγελου και του προσώπου.

Το βασικό χαρακτηριστικό της αποτριβής είναι οι επίπεδες, λείες και γυαλιστερές επιφάνειες στα δόντια.

Οι επιφάνειες αποτριβής βρίσκονται εκεί όπου τα δόντια έρχονται σε επαφή όταν κλείνουν μεταξύ τους και ξεκινούν πολλές φορές από νεαρή ηλικία όπως στην κυρία της φωτογραφίας η οποία αν και μόλις 25 ετών, εμφανίζει ήδη εικόνα δοντιών που συναντάται σε ασθενείς με πολύ μεγαλύτερη ηλικία.

Εικόνα δοντιών και χαμόγελου σε ασθενή 25 ετών

Οι βλάβες είναι διαφορετικές από εκείνες που προκαλούνται από την διάβρωση, όπου τα δόντια έχουν χάσει μέρος της ανατομίας τους αλλά οι φθορές στα δόντια έχουν σχήμα κυπελλοειδές και όχι επίπεδο.

Από όλες τις αιτίες που προκαλούν φθορά των δοντιών η αποτριβή έχει την χειρότερη πρόγνωση, γιατί εξαιτίας των αυξημένων δυνάμεων, έχουμε σπασίματα και στις προσθετικές εργασίες που κατασκευάζουμε για να αποκαταστήσουμε τα φθαρμένα δόντια, παρά τό ότι όλοι αυτοί οι ασθενείς πρέπει να χρησιμοποιούν έναν ειδικό νάρθηκα σταθεροποιήσης που δέχεται τις αυξημένες δυνάμεις, αντί των δοντιών. 

Στην προσπάθεια μας να αποκαταστήσουμε προσθετικά τους ασθενείς με αποτριβές των δοντιών, πολλές φορές κατασκευάζουμε εκτεταμένες αποκαταστάσεις που περιλαμβάνουν όλα τα δόντια και συνήθως είναι στεφάνες ή σπανιότερα όψεις πορσελάνης, όπως στην κυρία της ακόλουθης φωτογραφίας.αποτριβές πρόσθιων δοντιών και αποκατάσταση με όψεις πορσελάνης

Επειδή δεν είναι εφικτό πάντα να κατασκευάζουμε μεγάλες αποκαταστάσεις, θα δούμε σήμερα την αντιμετώπιση ενός περιστατικού αποτριβών με συντηρητικό τρόπο και την χρήση σύνθετης ρητίνης.

Βλέπουμε στην ακόλουθη φωτογραφία την χαρακτηριστική εικόνα του χαμόγελου των δοντιών ενός ασθενούς στο ιατρείο μου καθώς και τις λείες, κοφτερές επιφάνειες που έχουν δημιουργηθεί στα πρόσθια δόντια τόσο της άνω όσο και της κάτω γνάθου από την αποτριβή.

Αποτριβή των δοντιών και αντιμετώπιση με ελάχιστη παρέμβαση

Πολλές φορές οι ασθενείς με αποτριβή έχουν στα πίσω δόντια τους στεφάνες ή γέφυρες που κατασκευάστηκαν στο πέρασμα των χρόνων ώστε να αντιμετωπιστούν τα σπασμένα οπίσθια δόντια που προέκυπταν από τις αυξημένες δυνάμεις.

O ασθενής της άνω φωτογραφίας, με επισκέφθηκε γιατί ήθελε να αντικαταστήσει μια θήκη στα πίσω δόντια που είχε σπάσει κατά την χρήση. Μου εξήγησε πως άλλαζε συχνά τις στεφάνες στα πίσω δόντια λόγω των καταγμάτων που συνέβαιναν κατά καιρούς.

Οι αλλαγές ήταν σταδιακές και διορθώνοντας πότε το ένα δόντι και πότε το άλλο, οι σχέσεις των δοντιών άλλαξαν σημαντικά και κάθε νέα στεφάνη έπρεπε να ενταχθεί σε ένα ήδη επιβαρυμένο στοματικό περιβάλλον. 

Τα πρόσθια δόντια είχαν υποστεί σημαντική αποτριβή και δεν μπορούσαν με την λειτουργία τους να προστατέψουν τα πίσω δόντια και τις στεφάνες που κατά καιρούς τοποθετούσαν οι οδοντίατροι. 

Ο ασθενής δεν είχε αντιληφθεί την βλάβη που είχαν υποστεί τα μπροστινά δόντια του και δεν επιθυμούσε δραστικές επεμβάσεις σε αυτά.

Καταλήξαμε να δουλέψουμε στα δόντια του με μεγάλη προσοχή και ακολουθήσαμε μια συντηρητική προσέγγιση.

Σε όλες τις εκτεταμένες αποκαταστάσεις όπως αυτή, ξεκινάμε πάντα με τον σχεδιασμό του χαμόγελου και την απόδοση νέας σχέσης μεταξύ των δοντιών τόσο σε ύψος όσο και στην θέση που κλείνουν τα δόντια μεταξύ τους. 

Στην φωτογραφία που ακολουθεί βλέπετε το mock-up, που βασίζεται στο διαγνωστικό σχεδιασμό του περιστατικού.

Αφού εγκρίνουμε το μήκος και την θέση των δοντιών, υπολογίζουμε πόσο θέλουμε να αυξήσουμε την κάθετη διάσταση, πόσο δηλαδή θα ανοίξουμε το στόμα του ώστε να χωρέσουν τα υλικά που χρειαζόμαστε για να κατασκευάσουμε τις νέες αποκαταστάσεις. 

Μοκ απ- σχεδιασμός χαμόγελου

Στο νέο ύψος του προσώπου αντικαταστήσαμε όλες τις στεφάνες στα πίσω δόντια με νέες.

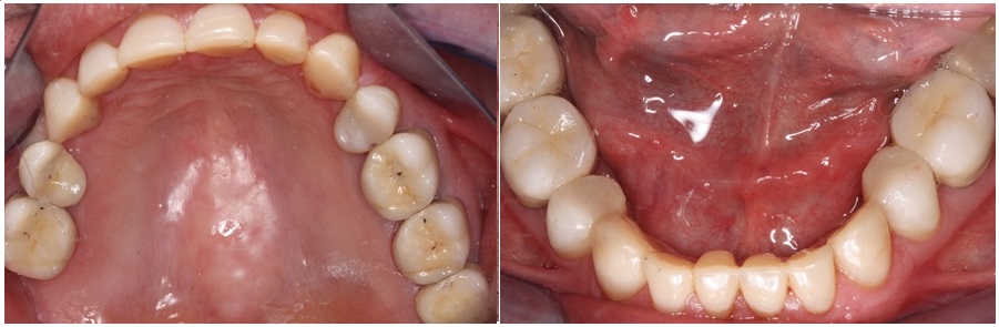
Στην ακόλουθη φωτογραφία φαίνονται οι καινούργιες στεφάνες μεταλλοπορσελάνης που τοποθετήθηκαν τόσο στα πάνω όσο και στα κάτω πίσω δόντια.Στεφάνες μεταλλοπορσελάνης σε ασθενή με αποτριβές

Με τις νέες στεφάνες που κατασκευάστηκαν σε μεγαλύτερο ύψος προσώπου, δημιουργήθηκε χώρος στα μπροστινά δόντια που μας έδωσε την δυνατότητα να τα αποκαταστήσουμε στο αρχικό μέγεθος και σχήμα.

Υλικό επιλογής ήταν η σύνθετη ρητίνη, μιας και ο ασθενής ήταν πολύ επιφυλακτικός στο να τροχίσουμε τα μπροστινά του δόντια για οποιαδήποτε μόνιμη αποκατάσταση.

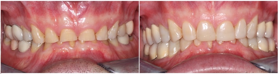
Δείτε στην επόμενη φωτογραφία την εικόνα των δοντιών πριν και μετά την θεραπεία.

Βλέπουμε τις στεφάνες μεταλλοπορσελάνης στα πίσω δόντια και τις αποκαταστάσεις με σύνθετη ρητίνη στα μπροστινά του δόντια, με το στόμα ανοικτό στην πρώτη φωτογραφία και σε σύγκλειση στην δεύτερη.αποτριβή δοντιών-πριν και μετά, αποκατάσταση πρόσθιων δοντιών με σύνθετη ρητίνη

αποτριβή δοντιών-πριν και μετά, αποκατάσταση πρόσθιων δοντιών με σύνθετη ρητίνη

Παράλληλα με την λειτουργία αποκαταστάθηκε και η αισθητική των δοντιών και του χαμόγελου.

Η αποκατάσταση δοντιών με αποτριβή, με χρήση σύνθετης ρητίνης στα πρόσθια δόντια 

  • είναι συντηρητική τεχνική
  • αποκαθιστά την αισθητική και την λειτουργία των δοντιών
  • μειώνει το συνολικό κόστος της θεραπείας
  • επιτρέπει ευκολότερη επιδιόρθωση των καταγμάτων που μπορεί να προκύψουν στο μέλλον.

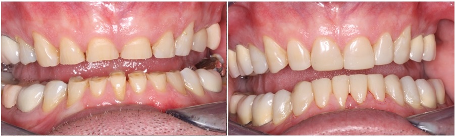
Και τέλος, ένα πριν και μετά τόσο του χαμόγελου, όσο και των δοντιών.

αποτριβή δοντιών-πριν και μετά

αποτριβή δοντιών-πριν και μετά

Η εργασία βρίσκετε στο στόμα 8 χρόνια, ο ασθενής ζει στην Αυστραλία και δεν μπορεί να ταξιδέψει εύκολα στην Ελλάδα.

Μου γράφει κάθε Χριστούγεννα και μου λέει πως τα δόντια του είναι μια χαρά και δεν έχει από τότε άλλα προβλήματα.

Φοράει βέβαια συνεχώς έναν νάρθηκα σταθεροποίησης που έχουμε κατασκευάσει ώστε να προστατεύει τα δόντια και τις αποκαταστάσεις από τις υπερβολικές δυνάμεις που αναπτύσσονται στον ύπνο του.

Η αποτριβή των δοντιών και η θεραπεία της είναι απαιτητικές εργασίες για έναν προσθετολόγο, ταυτόχρονα ομως και πολύ ικανοποιητικές.

Δεν μπορούμε να αποκαταστήσουμε κάθε περιστατικό με σύνθετη ρητίνη ούτε και είναι σκόπιμο πολλές φορές, είναι όμως εξαιρετικά χρήσιμο να έχουμε στο οπλοστάσιο μας και αυτή την λύση.

Δείτε το σχετικό video και επικοινωνήστε μαζί μας στα σχόλια για οποιαδήποτε απορία σας δημιουργηθεί.

Δόμνα Ευαγγελίδου - Προσθετολόγος