Ίσια δόντια με όψεις πορσελάνης



ίσια δόντια με όψεις πορσελάνηςια με όψεις πορσελάνηςΠολλοί ασθενείς μας έχουν ωραία και ίσια δόντια από την φύση, κάποιοι όμως αντιμετωπίζουν προβλήματα.

Πολλές φορές ενήλικες ασθενείς μας, όπως η κυρία της φωτογραφίας,προκειμένου να βελτιώσουν την αισθητική του χαμόγελου τους αναζητούν λύσεις αισθητικής οδοντιατρικής για να αποφύγουν τον χρόνο που χρειάζεται μια ορθοδοντική θεραπεία.

Σοβαρές ορθοδοντικές ανωμαλίες δεν μπορούν να αντιμετωπιστούν με τεχνικές αισθητικής οδοντιατρικής, υπάρχουν όμως αρκετές περιπτώσεις στις οποίες μπορούμε να βελτιώσουμε την αισθητική του χαμόγελου και των δοντιών με ήπια παρέμβαση και κατασκευή όψεων ρητίνης ή όψεων πορσελάνης.

Τα περιστατικά αυτά χρειάζονται προσεκτική επιλογή γιατί καμία από τις πράξεις της αισθητικής οδοντιατρικής δεν πρέπει να είναι σε βάρος της υγείας των δοντιών, όπως έχουμε συζητήσει εκτενώς και σε παλαιότερη ανάρτηση. 

Θα δούμε σήμερα ένα τέτοιο περιστατικό,ασθενούς που επιθυμούσε να αποκτήσει ένα ωραίο χαμόγελο χωρίς να υποβληθεί σε ορθοδοντική θεραπεία καθώς και τον τρόπο που εξελίχθηκε στα χρόνια.

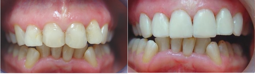
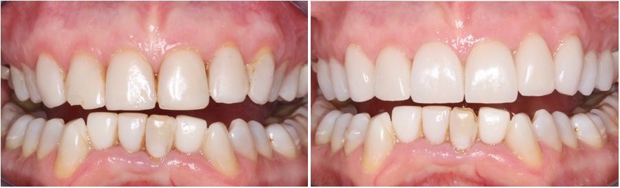
Η Σ. ήρθε στο ιατρείο μου πριν 15 χρόνια. Τα δόντια της άνω γνάθου ήταν στραβά, είχαν πολλά σφραγίσματα και άνισα μεγέθη. Οι πλάγιοι τομείς κυριαρχούσαν στους κεντρικούς οι οποίοι δεν ήταν συμμετρικοί. 

Η επιθυμία της ήταν να αποκτήσει ίσια δόντια. Συζητήσαμε το ενδεχόμενο να κατασκευάσουμε όψεις πορσελάνης ή όψεις ρητίνης και η ασθενής επέλεξε τις όψεις ρητίνης.

Κατασκευάσαμε 6 όψεις ρητίνης στα 6 πρόσθια δόντια.

Η βελτίωση της αισθητικής του χαμόγελου με όψεις ρητίνης γίνεται άμεσα και είναι οικονομική. Η ασθενής έμεινε ευχαριστημένη με το αποτέλεσμα και χρησιμοποίησε τις όψεις για πολλά χρόνια.

Στις φωτογραφίες που ακολουθούν βλέπετε τα δόντια και το χαμόγελο της ασθενούς πριν και μετά τις όψεις ρητίνης, με φωτογραφίες που τραβήχτηκαν 15 χρόνια πριν. 

Όψεις ρητίνης πριν και μετά -δόντια

Όψεις ρητίνης πριν και μετά- χαμόγελο

Πρόσφατα η Σ. αποφάσισε να αντικαταστήσει τις όψεις ρητίνης με όψεις πορσελάνης.

Οι όψεις ρητίνης είχαν λειτουργήσει θαυμάσια στα 15 χρόνια που είχαν μεσολαβήσει, αλλά είχαν ελαφρώς αποχρωματιστεί και σε κάποια σημεία είχαν μικρά κατάγματα.

Με αφορμή την νέα αλλαγή, αποφασίσαμε να διορθώσουμε και κάποιες ατέλειες που υπήρχαν στα δόντια και στο χαμόγελο ώστε να προσεγγίσουμε ένα αποτέλεσμα πιο κοντά στο ιδανικό.

Πριν αφαιρέσουμε τις παλιές όψεις ρητίνης, ξεκινήσαμε με ένα διαγνωστικό ρητίνωμα ή mock up όπως το ονομάζουμε.

Πρόκειται για την διαγνωστική διαδικασία που μας επιτρέπει να οραματιστούμε το τελικό αποτέλεσμα  και μας βοηθά να επικοινωνήσουμε στους ασθενείς μας το αποτέλεσμα που θέλουμε να αποδώσουμε.

Στα πλαίσια της διαδικασίας αυτής τα δόντια σχεδιάζονται με κερί σε ένα γύψινο ομοίωμα του στόματος.

Στην συνέχεια στο ιατρείο πια, αντιγράφουμε το κέρωμα με ένα κλειδί και μεταφέρουμε το αποτέλεσμα στο στόμα της ασθενούς για να ελέγξουμε αν την ικανοποιεί το τελικό αποτέλεσμα.

Στην φωτογραφία που ακολουθεί βλέπουμε αριστερά, το διαγνωστικό κέρωμα που κατασκεύασε ο οδοντοτεχνίτης και την εικόνα των δοντιών μετά την αντιγραφή του στο στόμα.

Διαγνωστικό κέρωμα και mock up

Το mock up γίνεται πάνω από τις όψεις ρητίνης χωρίς αυτές να τροποποιηθούν.

Δημιουργούμε στην ουσία, ένα "δοκιμαστικό χαμόγελο" και το τροποποιούμε ανάλογα με τις παρατηρήσεις μας και τις επιθυμίες της ασθενούς.Η ασθενής παρεμβαίνει, διορθώνει και εγκρίνει μαζί μου το διαγνωστικό ρητίνωμα ώστε και οι δύο να είμαστε σίγουρες για το τελικό αποτέλεσμα.

Στα πλαίσια αυτής της διαδικασίας αποφασίσαμε να επεκταθούμε και στους προγόμφιους, στα δόντια δηλαδή που βρίσκονται ακριβώς πίσω από τα 6 μπροστινά, για να αποδώσουμε ένα πιο πλήρες, γεμάτο χαμόγελο.

Η άμεση αλλαγή στο χαμόγελο, ενθουσίασε την ασθενή η οποία αποφάσισε άμεσα να προχωρήσει στις όψεις πορσελάνης, σύμφωνη με τα χαρακτηριστικά που αποδώσαμε. 

Δοκιμαστικό χαμόγελο πριν και μετά

Ακολούθησε η αφαίρεση των όψεων ρητίνης, η κατασκευή προσωρινών εργασιών, η αποτύπωση των δοντιών και η κατασκευή των όψεων πορσελάνης.

Βλέπετε στις φωτογραφίες που ακολουθούν τις όψεις πορσελάνης λεπτές, φτιαγμένες ξεχωριστά για κάθε ένα δόντι.

Συγκολλώνται στην εξωτερική πλευρά του δοντιού ώστε να αποδώσουν στο χαμόγελο την αισθητική που επιθυμούμε.

Όψεις

Οι όψεις κατασκευάζονται με βάση το "δοκιμαστικό χαμόγελο" που είχαμε δημιουργήσει στο προηγούμενο στάδιο.

Αριστερά απεικονίζεται το χαμόγελο της ασθενούς με το mock up και δεξιά το χαμόγελο της με τις όψεις τοποθετημένες στο στόμα.

Δοκιμαστικό χαμόγελο και χαμόγελο με όψεις πορσελάνης

Στις φωτογραφίες που ακολουθούν βλέπουμε την αρχική και τελική εικόνα των δοντιών της ασθενούς,

Αντικατάσταση όψεων ρητίνης με όψεις πορσελάνης

και την αρχική και τελική εικόνα του χαμόγελου της.

Αντικατάσταση όψεων ρητίνης με όψεις πορσελάνης

Ενδιαφέρον έχει και η σύγκριση ανάμεσα στο αρχικό χαμόγελο της ασθενούς 15 χρόνια πριν από τις όψεις ρητίνης και σήμερα μετά την κατασκευή των όψεων πορσελάνης.

Η αλλαγή είναι ακόμη πιο εντυπωσιακή.

Με προσεκτικό σχεδιασμό κατασκευάζουμε όχι μόνο όμορφα δόντια αλλά και καινούργια χαμόγελα.

Δίνουμε στους ασθενείς μας την ευκαιρία να χαμογελούν με αυτοπεποίθηση και πραγματικά πιστεύω πως η επόμενη φωτογραφία απεικονίζει ακριβώς αυτό.

Όχι μόνο όμορφα δόντια αλλά και ένα καινούργιο, πιο πλατύ γεμάτο αυτοπεποίθηση χαμόγελο.

¨Όψεις πορσελάνης, πριν και μετά

Στο ερώτημα αν μπορείτε να αποκτήσετε ίσια δόντια με όψεις πορσελάνης ή με όψεις ρητίνης η απάντηση είναι θετική, αρκεί το πρόβλημα που αντιμετωπίζετε να πληροί τις κατάλληλες προϋποθέσεις.

Χρειάζεται αξιολόγηση από τον γιατρό σας και προσεκτικά βήματα για να εξασφαλίσουμε πως θα επιτύχουμε ένα ωραίο αποτέλεσμα και θα διατηρήσουμε ταυτόχρονα την υγεία των δοντιών σας.

Δείτε επίσης στο βίντεο που ακολουθεί τις αλλαγές που περιέγραψα με λεπτομέρεια.

 

Δείτε τέλος και άλλα περιστατικά ασθενών με  στραβά δοντια που αντιμετωπίσαμε στο ιατρείο μας και μην διστάσετε να επικοινωνήσετε μαζί μου για να συζητήσουμε τους προβληματισμούς σας.

Δόμνα ΕυαγγελίδουΟδοντίατρος-Προσθετολόγος