Ότι πρέπει να γνωρίζετε αν χάσετε ένα μπροστινό δόντι



χάνεις το μπροστινό σου δόντι

 

Ένα από τα πιο τρομακτικά οδοντικά προβλήματα για τους ασθενείς μας είναι η απώλεια ενός πρόσθιου δοντιού, εκτός και αν είναι παιδιά οπότε καμαρώνουν και περιμένουν και δώρο.

Όταν στο στόμα έχουν χαθεί και άλλα δόντια, τότε η απώλεια ενός επιπλέον πρόσθιου δοντιού θα πρέπει να αντιμετωπιστεί με ένα συνολικό σχέδιο θεραπείας που δεν είναι αντικείμενο αυτής της ανάρτησης.

Σε αυτή την ανάρτηση θα σας μιλήσω για την περίπτωση της απώλειας ενός μεμονωμένου δοντιού, σε ένα κατά τ' άλλα υγιή οδοντικό φραγμό.

Με εξαίρεση την απώλεια ενός δοντιού από ατύχημα, συνήθως ένα μπροστινό δόντι δεν χάνετε από την μια μέρα στην άλλη.

Οδηγούμαστε στην απόφαση για εξαγωγή ενός πρόσθιου δοντιού μόνο όταν έχουν εξαντληθεί όλες οι πιθανές λύσεις για την αποκατάσταση του.

Οι κυριότεροι λόγοι που μπορεί να οδηγήσουν στην απώλεια ενός πρόσθιου δοντιού είναι:

  • Τερηδόνα
  • Περιοδοντίτιδα
  • Κάταγμα

Έτσι λοιπόν, αποφασίζουμε την εξαγωγή ενός δοντιού όταν υπάρχουν:

Είναι σημαντικό να γνωρίζετε πως σήμερα στην Οδοντιατρική έχουμε κάνει τεράστια βήματα στην αντιμετώπιση τέτοιων προβλημάτων που φαντάζουν δυσεπίλυτα στην αρχή αλλά αντιμετωπίζονται πια με μεγάλη επιτυχία. 

Κάθε περίπτωση είναι μοναδική και έτσι πάντα αντιμετωπίζεται. Μετά από σχολαστική εξέταση του προβλήματος, παρουσιάζουμε τις εναλλακτικές λύσεις στους ασθενείς μας, συζητάμε για τον χρόνο και το κόστος της θεραπείας και αποφασίζουμε την καταλληλότερη λύση. 

Ας δούμε εδώ ένα περιστατικό με ιδιαίτερο ενδιαφέρον που αντιμετωπίστηκε με την βοήθεια ενός οδοντικού εμφυτεύματος.

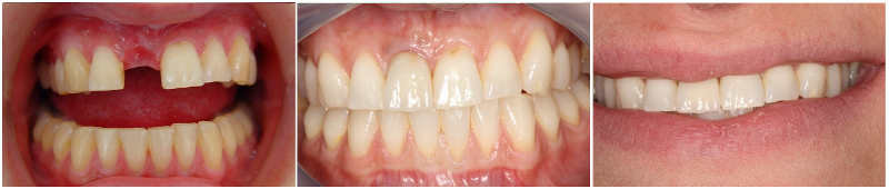
Στην φωτογραφία που ακολουθεί βλέπετε την εικόνα των δοντιών πριν και μετά την αποκατάσταση καθώς και το χαμόγελο της ασθενούς στο τέλος της θεραπέιας.

Οδοντικό εμφύτευμα στον κεντρικό τομέα πριν και μετά

Η ασθενής, ετών 32, είχε χτυπήσει στο μπροστινό της δόντι όταν ήταν μικρή. Με το πέρασμα του χρόνου το δόντι χρειάστηκε ενδοδοντική θεραπεία, έναν άξονα και μια στεφάνη.

Η στεφάνη άλλαξε μερικές φορές για αισθητικούς λόγους ενώ όταν ήρθε στο ιατρείο είχε πόνο στην περιοχή της ρίζας του δοντιού, λόγω κατάγματος αυτής από τον ενδοριζικό άξονα που συγκρατούσε την στεφάνη του. Η θήκη που έφερε το δόντι είχε ξεκολλήσει και η ασθενής μπορούσε να την βάζει και να την βγάζει από το στόμα όποτε ήθελε.

Ήξερε και η ίδια πως το δόντι ήταν καταδικασμένο αλλά δίσταζε να προχωρήσει στην εξαγωγή του. Η μεγάλη αγωνία της ήταν πως θα μείνει χωρίς μπροστινό δόντι.

Αφού εξηγήσουμε στην ασθενή μας την διαδικασία στην θεραπεία με τα οδοντικά εμφυτεύματα, το επόμενο σημαντικό θέμα που προκύπτει είναι συνήθως η προσωρινή λύση που θα κατασκευάσουμε, προκειμένου η ασθενής να μπορεί να μιλάει, να χαμογελάει και να τρώει σε όλο το διάστημα της θεραπείας.

Είναι θεμελιώδες, να κατασκευάσουμε μια καλή προσωρινή λύση που θα είναι αισθητική, όχι μόνο γιατί θα μείνει στο στόμα για αρκετό χρονικό διάστημα αλλά και γιατί θα πρέπει να προσφέρει στην ασθενή μας την άνεση που χρειάζεται στην μάσηση και στην ομιλία.

Κατασκευάσαμε για την ασθενή μια γέφυρα Maryland, η οποία τοποθετήθηκε στο στόμα αμέσως μετά την εξαγωγή του δοντιού. Η γέφυρα παρέμεινε στο στόμα μόνιμα συγκολλημένη σε όλο το διάστημα της θεραπείας.

Στην φωτογραφία που ακολουθεί βλέπετε την αρχική εικόνα, την γέφυρα Maryland πριν την συγκόλληση της στο στόμα και στο τέλος την εικόνα των δοντιών μετά την συγκόλληση της προσωρινής εργασίας.

γέφυρα maryland πριν και μετά

Πρόκειται για μια απλή κατασκευή που κολλιέται στα διπλανά δόντια με ρητινώδη κονία χωρίς να γίνει σε αυτά καμία τροποποίηση. Η γέφυρα αυτή μπορεί να αφαιρείται και να επανατοποθετείται από τον οδοντίατρο σε όλα τα θεραπευτικά στάδια που θα ακολουθήσουν.

Το επόμενο βήμα είναι η αξιολόγηση του εναπομείναντος οστού στην περιοχή. Η εξαγωγή του δοντιού θα πρέπει να έχει γίνει ατραυματικά, με σκοπό να διατηρήσουμε το οστό στην περιοχή. Μερικές φορές μετά την εξαγωγή του δοντού γίνεται ταυτόχρονα και προσπάθεια ανάπλασης της περιοχής με την βοήθεια οστικού μοσχεύματος ή μοσχεύματος συνδετικού οστού.

Αναφέρομαι σε αυτές τις τεχνικές γιατί είναι κρίσιμο να αντιληφθεί κανείς, πως η εξαγωγή του δοντιού αν και είναι η τελευταία πράξη του δράματος για το φυσικό δόντι, πρέπει να γίνει με μεγάλη προσοχή ώστε τα στάδια που θα ακολουθήσουν να είναι απλά και να εξασφαλίσουν ένα επιτυχημένο αποτέλεσμα.

Η καλύτερη χρονική στιγμή για την τοποθέτηση του εμφυτεύματος είναι δύο μήνες μετά την εξαγωγή του δοντιού. Αν φανεί τότε στις ακτινογραφίες, πως δεν υπάρχει ικανή ποσότητα οστού για την τοποθέτηση του εμφυτεύματος θα εφαρμοστεί κάποια αναπλαστική τεχνική που θα το δημιουργήσει. Σε τέτοια περίπτωση η τοποθέτηση του εμφυτεύματος γίνεται συνήθως 4 μήνες μετά την ανάπλαση.

Στο περιστατικό των φωτογραφιών, δεν χρειάστηκε να εφαρμοστεί καμία αναπλαστική τεχνική. Ο κύριος λόγος ήταν, πως η ασθενής μας αποφάσισε να προχωρήσει στην θεραπεία χωρίς καθυστερήσεις. Με αυτό τον τρόπο, το κάταγμα της ρίζας δεν προκάλεσε βλάβες στην περιοχή.

Μετά την τοποθέτηση του εμφυτεύματος χρειάζεται χρόνος 3-4 μηνών για την αποκάλυψη του εμφυτεύματος. 

Την αποκάλυψη του εμφυτεύματος, ακολουθεί αναμονή 2 εβδομάδων για να ωριμάσουν οι ιστοί γύρω από το εμφύτευμα. Η οριστική αποκατάσταση του εμφυτεύματος ξεκινά με την λήψη των αποτυπωμάτων.

Στα ενδιάμεσα στάδια της κατασκευής η γέφυρα Maryland μπορεί να αφαιρείται και να επανατοποθετείται.

Μπορούμε επίσης να εκμεταλλευτούμε την ύπαρξη του εμφυτεύματος και να στηρίξουμε πάνω του μια προσωρινή στεφάνη η οποία βοηθά και στην διαμόρφωση των ούλων της περιοχής και αντικαθιστά οριστικά την προσωρινή γέφυρα.

Συνήθως η κατασκευή μιας πρόσθιας στεφάνης είναι απλή διαδικασία που ολοκληρώνεται σε 3 ραντεβού. 

ολοκεραμική στεφάνη σε εμφύτευμα

Στο περιστατικό μας, κατασκευάσαμε μια ολοκεραμική στεφάνη ζιρκονίου η οποία συγκολλήθηκε μόνιμα στο κολόβωμα τιτανίου που είχε πρώτα βιδωθεί στο εμφύτευμα. Οι ολοκεραμικές στεφάνες είναι στεφάνες ανώτερης αισθητικής, φιλικές στην δίοδο του φωτός και αποδίδουν ένα πιο φυσικό αποτέλεσμα.

Παρόμοια προβλήματα αντιμετώπιζε και η ασθενής το χαμόγελο της οποίας βλέπουμε στην επόμενη φωτογραφία πριν και μετά την ολοκλήρωση της θεραπείας της. Διαβάστε λεπτομέρειες γι αυτό το περιστατικό απώλειας μπροστινού δοντιού που αντιμετωπίστηκε επιτυχώς στο ιατρείο μας. 

Εμφύτευμα στην θέση μπροστινού δοντιού

Εσείς τι πρόβλημα αντιμετωπίζετε; Θα τοποθετούσατε ένα εμφύτευμα στην θέση του μπροστινού δοντιού που χάνετε;

Μπορεί στην αρχή να φαίνεται τρομακτικό το ενδεχόμενο να χάσετε ένα μπροστινό δόντι, όμως σήμερα μπορούμε να αντιμετωπίσουμε το πρόβλημα με προσθετικές εργασίες υψηλής αισθητικής και με προβλέψιμο τρόπο.

Αναζητήστε λύσεις που ταιριάζουν στις ανάγκες σας και ενημερωθείτε από γιατρούς που μπορούν να σας στηρίξουν σε όποια λύση και αν επιλέξετε.

Δείτε παρακάτω ένα βίντεο του ιατρείου μας με πολλές πληροφορίες για το πρόβλημα της απώλειας ενός δοντιού,

Μην παραλείψετε τέλος να αποκτήσετε το δωρεάν ηλεκτρονικό βιβλίο του ιατρείου μας για τα οδοντικά εμφυτεύματα και να ενημερωθείτε για το κόστος τους. 

 

Δόμνα Ευαγγελίδου, Προσθετολόγος