Ένθετα και Επένθετα



 Επένθετα ρητίνης ή πορσελάνηςΤα ένθετα και τα επένθετα είναι αποκαταστάσεις των οπισθίων δοντιών, που κατασκευάζονται στο οδοντοτεχνικό εργαστήριο από πορσελάνη ή ρητίνη.

Θα μπορούσε να πει κανείς πως είναι σφραγίσματα, οι τεχνικές όμως που ακολουθούνται για την κατασκευή και την τοποθέτηση τους στο στόμα είναι διαφορετικές και εξασφαλίζουν μεγαλύτερη αντοχή, τόσο στην αποκατάσταση την ίδια όσο και στα δόντια στα οποία τοποθετούνται.

Ονομάζονται ένθετα, επένθετα ή υπερένθετα ανάλογα με το μέγεθος τους και το μέρος του δοντιού που αποκαθιστούν. Ο όρος επένθετα χρησιμοποιείται σε αυτήν την ανάρτηση για οικονομία του λόγου, όσα όμως σας περιγράφω για αυτά ισχύουν τόσο για τα ένθετα όσο και για τα υπερένθετα. 

Παλαιότερα τα επένθετα κατασκευάζονταν από χρυσό, αλλά όταν η τιμή του χρυσού έγινε πολύ υψηλή έπαψαν να χρησιμοποιούνται.

Την τελευταία δεκαετία δίνεται στην Οδοντιατρική, έμφαση στην διατήρηση των οδοντικών ιστών και τον σεβασμό των ιδιοτήτων του δοντιού. Σκοπός των αποκαταστάσεων μας είναι να αποφύγουμε τις βλάβες του πολφού και να ενίσχυσουμε τα κατεστραμμένα δόντια με λύσεις που έχουν όσο το δυνατό μεγαλύτερη διάρκεια στον χρόνο.

Η εξέλιξη των υλικών που έχουμε στην διάθεση μας, καθώς και οι αλλαγές στις τεχνικές της συγκόλλησης μαζί με την συντηρητική αυτή φιλοσοφία, μας επέτρεψαν να χρησιμοποιούμε ξανά τα επένθετα με μεγάλη επιτυχία δημιουργώντας αποκαταστάσεις με υψηλή αισθητική και λειτουργικότητα που είναι ταυτόχρονα πολύ συντηρητικές για τα δόντια στα οποία τοποθετούνται.  

Ιδανικά δόντια για αποκατάσταση με επένθετα, είναι τα φυσικά δόντια στα οποία λείπει τόση οδοντική ουσία ώστε ένα σφράγισμα να μην έχει καλή πρόγνωση.

Ο λόγος είναι, πως για να μπορέσουμε να κατασκευάσουμε ένα μεγάλο σφράγισμα μέσα στο στόμα πρέπει να δουλέψουμε κατά στάδια, πολυμερίζοντας σιγά σιγά το υλικό που χρησιμοποιούμε μέχρι να πληρώσουμε την κοιλότητα του δοντιού.

Ένθετα και επένθετα

Η διαδικασία αυτή εκτός του είναι χρονοβόρος, μπορεί να οδηγήσει σε μικροκενά ανάμεσα στο δόντι και στο σφράγισμα λόγω του πολυμερισμού του υλικού και της συστολής του, με αποτέλεσμα αργότερα να δημιουργηθεί νέα τερηδόνα ανάμεσα στο σφράγισμα και στο δόντι.

Επιπλέον κατά τον πολυμερισμό της, η σύνθετη ρητίνη μπορεί να προκαλέσει την έναρξη μικρών ρωγμών στην λεπτή οδοντική ουσία που έχει μείνει σε ένα κατεστραμμένο δόντι.

Ένθετα και επένθετα

Αντί του σφραγίσματος λοιπόν,  πολλές φορές αυτά τα δόντια αποκαθίστανται με μια στεφάνη, η οποία όμως προυποθέτει την αφαίρεση ακόμη και της λίγης οδοντικής ουσίας που υπάρχει, αδυνατίζοντας επιπλέον το δόντι. Κάποιες φορές προκειμένου να τοποθετηθεί μια στεφάνη, μπορεί να χρειαστεί και ένας άξονας στο δόντι ο οποίος μειώνει ακόμη περισσότερο την πιθανότητα για μακροχρόνια παραμονή του δοντιού στο στόμα.Ένθετα και επένθετα

Κάποια από τα δόντια που παλαιότερα έπρεπε υποχρεωτικά να αποκατασταθούν με στεφάνες, τώρα μπορούν να αποκατασταθούν θαυμάσια με επένθετα ρητίνης ή πορσελάνης.

Το επένθετο κατασκευάζεται στο εργαστήριο, από υλικά με καλύτερες φυσικές ιδιότητες από αυτά που είναι διαθέσιμα στο ιατρείο.

Ως προς τα υλικά επιλογής έχουμε να διαλέξουμε ανάμεσα στα επένθετα πορσελάνης ή ρητίνης κατασκευασμένα με παραδοσιακούς τρόπους ή με ψηφιακή τεχνολογία(CAD/CAM). Η επιλογή βασίζεται σε παραμέτρους όπως το μέγεθος της αποκατάστασης, η θέση του δοντιού στο τόξο, η ύπαρξη ή όχι βρυγμού και οι οικονομικές δυνατότητες του ασθενούς μας.

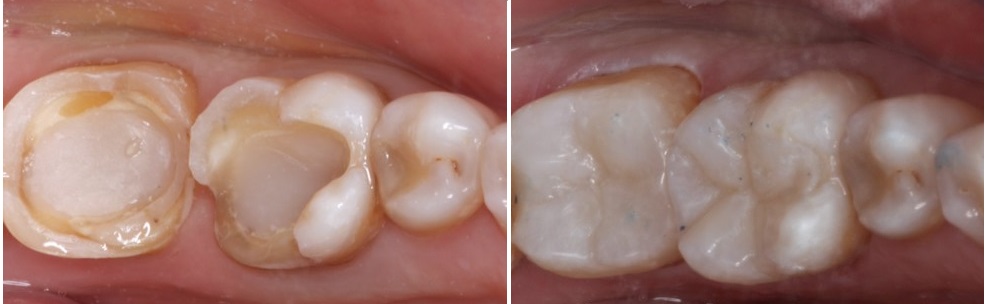
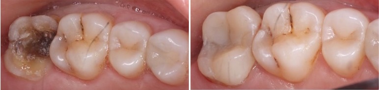
Τα επένθετα ρητίνης εξασφαλίζουν θαυμάσιο αισθητικό αποτέλεσμα, είναι οικονομικότερα από τα επένθετα πορσελάνης και επιδιορθώνονται ευκολότερα. Στην Ελλάδα της κρίσης φαίνεται πως έχουν κερδίσει έδαφος έναντι των ολοκεραμικών επένθετων. ένθετα και επένθετα-πριν και μετά

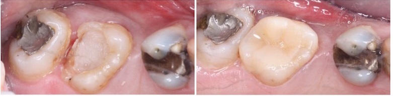
Χρειάζονται δύο ραντεβού για την ολοκλήρωση ενός επένθετου. Στο πρώτο αφαιρείται από το δόντι το παλαιό σφράγισμα και πιθανή τερηδόνα, διαμορφώνεται η κοιλότητα με τον κατάλληλο τρόπο και ακολουθεί η λήψη του αποτυπώματος. Στο δεύτερο ραντεβού γίνεται η συγκόλληση του επένθετου με ειδικά ρητινώδη υλικά, ενώ ανάμεσα στο πρώτο και στο δεύτερο ραντεβού μεσολαβεί χρόνος λίγων ημερών, στην διάρκεια των οποίων το δόντι είναι προστατευμένο με ένα προσωρινό σφράγισμα.

Το επένθετο πλεονεκτεί έναντι ενός απλού σφραγίσματος γιατί:

  • Είναι κατασκευασμένο από υλικά με καλύτερες ιδιότητες
  • Έχει υψηλή αισθητική
  • Εχει μεγαλύτερη αντοχή στον χρόνο
  • Βοηθά στην προστασία του δοντιού από κατάγματα

Τα μειονεκτήματα του επένθετου είναι:

  • Απαιτεί δύο ραντεβού για την ολοκλήρωση του
  • Είναι πιο ακριβό από ένα σφράγισμα

Συζητήστε με τον οδοντίατρο σας για τα επένθετα, αν:

  • Έχετε ένα μεγάλο σφράγισμα που συνεχώς φεύγει από το δόντι
  • Πρέπει να βάλετε μια στεφάνη
  • Πρέπει να σφραγίσετε ένα δόντι που απονευρώσατε
  • Έσπασε ένα μεγάλο μέρος ενός δοντιού στο πίσω μέρος του στόματος σας 

Δείτε στο βίντεο που ακολουθεί πολλές πληροφορίες για τα επένθετα:

"