Διάβρωση των δοντιών και προσθετική αντιμετώπιση με ελάχιστη παρέμβαση



Διάβρωση δοντιών, θεραπεία με συντηρητική αποκατάσταση

Η διάβρωση των δοντιών, η λέπτυνση δηλ. της αδαμαντίνης, της εξωτερικής στοιβάδας των δοντιών, είναι η φθορά που προκαλείται από οξέα που έρχονται σε επαφή με τα δόντια από διάφορες πηγές.

Για τα αίτια της διάβρωσης και την θεραπεία της έχουμε μιλήσει στο παρελθόν ενώ έχουμε δει μαζί και άλλα περιστατικά που αντιμετωπίσαμε στο ιατρείο, με συντηρητικό τρόπο.

Σήμερα θα δούμε ένα ακόμη περιστατικό διάβρωσης των δοντιών και την αντιμετώπιση του.

Η ασθενής προσήλθε με σημαντική απώλεια οδοντικής ουσίας, που οφείλονταν σε πολλαπλά καθημερινά βουλιμικά επεισόδια που διήρκεσαν 10 χρόνια.

Εκτός από την αδαμαντίνη, είχε ήδη προσβληθεί και η οδοντίνη, το κατώτερο δηλ. στρώμα του δοντιού. Τα δόντια είχαν χάσει ένα σημαντικό μέρος της ανατομίας τους και το ύψος του προσώπου είχε ήδη μειωθεί. 

Η ασθενής ήταν δυσαρεστημένη με την εικόνα των δοντιών και του χαμόγελου της, αλλά αντιμετώπιζε και λειτουργικά προβλήματα γιατί τα δόντια αντιδρούσαν στο κρύο και ήταν ευαίσθητα κατά την μάσηση.

Στην εικόνα που ακολουθεί βλέπουμε τα επιπεδωμένα δόντια, και την απώλεια του σχήματος τους που είναι εμφανή τόσο στο χαμόγελο όσο και στην ενδοστοματική εικόνα δεξιά.

Διάβρωση δοντιών- θεραπεία

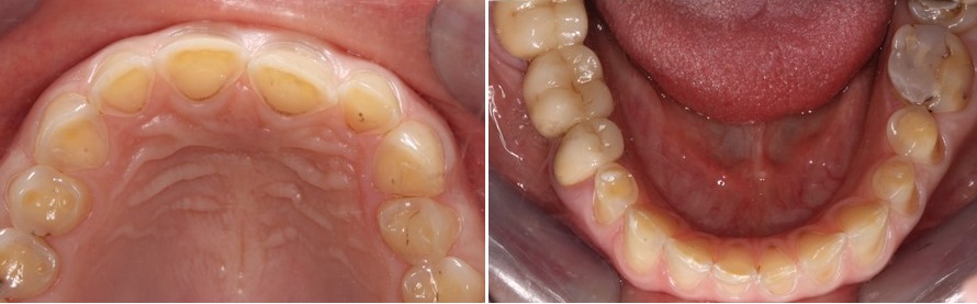
Σημαντική είναι και η φθορά στις μασητικές επιφάνειες των δοντιών που απεικονίζονται στις φωτογραφίες που ακολουθούν.

Όλα τα δόντια έχουν χάσει την μασητική μορφολογία τους, εκτός από την μεταλλοκεραμική γέφυρα στην κάτω γνάθο.

Τα σφραγίσματα και οι προσθετικές εργασίες δεν διαβρώνονται από τα οξέα και έτσι οι παλιές προσθετικές εργασίες ξεχωρίζουν στο στόμα, όπως φαίνεται χαρακτηριστικά στην φωτογραφία των δοντιών της κάτω γνάθου, δεξιά.

Διάβρωση δοντιών- θεραπεία

Πολύ εντυπωσιακή είναι και η εικόνα των κάτω προσθίων δοντιών που απεικονίζονται στην φωτογραφία που ακολουθεί, αριστερά.

Διάβρωση δοντιών- θεραπεία

Σε κάθε ένα από τα πρόσθια δόντια, βλέπουμε μια μικρή υπολειπόμενη ποσότητα αδαμαντίνης πολύ κοντά στα ούλα. Παρομοίως στα πίσω δόντια βλέπουμε την αδαμαντίνη που έχει μείνει περιφερικά στην μασητική επιφάνεια των προγομφίων.

Αυτή η μικρή ποσότητα αδαμαντίνης που έχει διατηρηθεί γιατί προστατεύεται από το υγρό της ουλοδοντικής σχισμής, είναι και η βάση του σχεδίου αποκατάστασης που θα ακολουθήσουμε.

Όλες οι προσθετικές εργασίες τόσο στα άνω όσο και στα κάτω δόντια, συγκολλώνται στα δόντια χωρίς αυτά να τροχιστούν. Έτσι αποκαθιστούμε την λειτουργία και την αισθητική των δοντιών, με πολύ συντηρητικό τρόπο. 

Ξεκινούμε την μελέτη τέτοιων περιστατικών με το διαγνωστικό κέρωμα, το οποίο μας επιτρέπει να οραματιστούμε το τελικό αποτέλεσμα.

Από το διαγνωστικό κέρωμα, προκύπτει και το διαγνωστικό χαμόγελο το οποίο δοκιμάζουμε στο στόμα της ασθενούς και κάνουμε όσες τροποποιήσεις είναι απαραίτητες.

Στην φωτογραφία που ακολουθεί βλέπουμε το χαμόγελο της ασθενούς και πως αυτό μεταμορφώνεται σε λίγα λεπτά με την διαδικασία του mock up

Διάβρωση δοντιών- θεραπεία

Η θεραπεία ξεκινά με την αύξηση της κάθετης διάστασης του προσώπου με την βοήθεια προσωρινών αποκαταστάσεων στα πίσω δόντια.

Στην φωτογραφία που ακολουθεί βλέπουμε την εικόνα του χαμόγελου και του κάτω τριτημορίου του προσώπου πριν και μετά την αύξηση της κάθετης διάστασης του προσώπου με προσωρινές αποκαταστάσεις ρητίνης που τοποθετήθηκαν στα πίσω δόντια και των δύο γνάθων και είναι αντίγραφα του διαγνωστικού κερώματος.

Διάβρωση δοντιών- θεραπεία

Με την αύξηση της κάθετης διάστασης δημιουργείται ο απαραίτητος χώρος για να τοποθετηθούν στα κάτω πρόσθια δόντια, όψεις πορσελάνης.

Στην φωτογραφία που ακολουθεί βλέπουμε τα κάτω πρόσθια δόντια πριν και μετά την συγκόλληση των όψεων πορσελάνης. 

Διάβρωση δοντιών- θεραπεία- οψεις πορσελάνης

Στην συνέχεια κατασκευάστηκαν όψεις ρητίνης που τοποθετήθηκαν στην υπερώια επιφάνεια των άνω πρόσθιων δοντιών με σκοπό να αποδοθεί η σωστή μορφολογία και σύγκλειση με τα κάτω πρόσθια δόντια.

Σε επόμενο στάδιο κατασκευάσαμε όψεις πορσελάνης στα πρόσθια δόντια της άνω γνάθου. Στην φωτογραφία βλέπουμε τα δόντια πριν και μετά την αποκατάσταση με όψεις πορσελάνης. 

Διάβρωση δοντιών- θεραπεία- οψεις πορσελάνης

Με την τεχνική αυτή δεν αφαιρούμε καθόλου την οδοντική ουσία. Τα δόντια δεν τροχίζονται, αλλά προστατεύονται ανάμεσα σε δύο αποκαταστάσεις, μια από την πλευρά της υπερώας και μια από την πλευρά των χειλιών. Δημιουργούμε με τις αποκαταστάσεις ένα sandwich, που επιτρέπει στα δόντια να διατηρούν την ακεραιότητα τους και προστατεύονται. Έτσι δεν χάνουν περισσότερη οδοντική ουσία από αυτή που ήδη είχε χαθεί από την διάβρωση. 

Αφού αποκατασταθούν τα πρόσθια δόντια, αρχίζει η σταδιακή αλλαγή των προσωρινών αποκαταστάσεων των οπίσθιων δοντιών. Τα προσωρινά σφραγίσματα αφαιρέθηκαν ανά τεταρτημόριο και αντικαταστάθηκαν με επένθετα πορσελάνης.

Στην φωτογραφία που ακολουθεί βλέπουμε την εικόνα των δοντιών της ασθενούς πριν και μετά την συγκόλληση των όψεων ρητίνης και πορσελάνης στα πρόσθια δόντια και των επένθετων πορσελάνης στα οπίσθια δόντια της άνω γνάθου.

Διάβρωση δοντιών- θεραπεία

Η εργασία γίνεται σταδιακά και όταν ολοκληρωθεί, όλα τα δόντια έχουν αποκατασταθεί στο νέο ύψος του προσώπου με ολοκεραμικές εργασίες οι οποίες αποδίδουν την μασητική μορφολογία, διορθώνουν όμως παράλληλα και μικρά αισθητικά προβλήματα στο χαμόγελο που είχε η ασθενής.

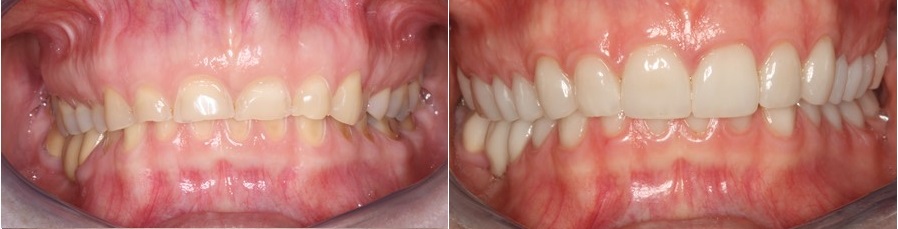
Το χαμόγελο της ασθενούς πριν και μετά την αποκατάστασηΔιάβρωση δοντιών- θεραπεία

Η εικόνα των δοντιών πριν και μετά την αποκατάσταση 

Διάβρωση δοντιών- θεραπεία

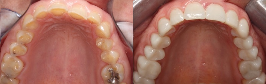
Η εικόνα των δοντιών της άνω γνάθου πριν και μετά την αποκατάσταση

Διάβρωση δοντιών- θεραπεία

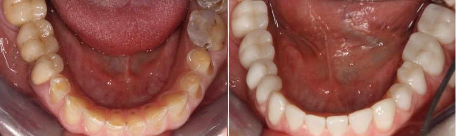
Η εικόνα των δοντιών της κάτω γνάθου πριν και μετά την αποκατάσταση

Διάβρωση δοντιών- θεραπεία

Η διάβρωση των δοντιών είναι ένα πρόβλημα που αυξάνεται τα τελευταία χρόνια.

Η προσθετική αποκατάσταση αυτών των δοντιών γίνεται πλεόν με σύγχρονο, συντηρητικό τρόπο.

Ολοκεραμικές προσθετικές εργασίες μπορούν να κολληθούν πάνω στα δόντια με ελάχιστο ή καθόλου τρόχισμα των διαβρωμένων δοντιών.

Με αυτό τον τρόπο αποκαθιστούμε τα λειτουργικά και αισθητικά προβλήματα που αντιμετωπίζουν οι ασθενείς μας, χωρίς να αφαιρούμε από τα δόντια επιπλέον οδοντική ουσία.

Δείτε και άλλα περιστατικά που έχουμε αντιμετωπίσει με παρόμοιο τρόπο εδώ και εδώ.

Όλοι έχουμε δικαίωμα σε ένα υγιές και όμορφο χαμόγελο. Δεν συμφωνείτε;

 

Δόμνα Ευαγγελίδου, Προσθετολόγος