Ο κυνόδοντας είναι ένα δόντι σημαντικό για την αισθητική του χαμόγελου και για την λειτουργία των υπόλοιπων δοντιών.
Η θέση του είναι τέτοια, που στην ουσία οδηγεί το οδοντικό τόξο από τα πρόσθια στα οπίσθια δόντια, ενώ παράλληλα είναι υπεύθυνος για τον διαχωρισμό των άνω με τα κάτω πίσω δόντια κατά τις πλάγιες κινήσεις της γνάθου.
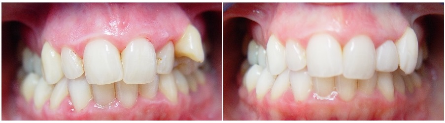
Υπάρχουν περιπτώσεις όμως, σαν αυτές τις φωτογραφίας, που η θέση του εκτός του οδοντικού τόξου είναι τόσο έντονη, ώστε να δημιουργεί σοβαρό αισθητικό πρόβλημα στο χαμόγελο της ασθενούς.
Η ιδανική προσέγγιση είναι η διόρθωση της θέσης του δοντιού με ορθοδοντική, δηλ. με σιδεράκια. Mε την ορθοδοντική θεραπεία, ο κυνόδοντας μπορεί να μετακινηθεί σε τέτοια θέση ώστε το δόντι εκτός από σωστή αισθητική, να αποκτήσει και καλή λειτουργία κατά τον διαχωρισμό των πίσω δοντιών.
Σε περιπτώσεις όμως που οι ασθενείς είναι ενήλικοι και για κοινωνικούς λόγους δεν επιθυμούν να φορέσουν σιδεράκια, μπορούμε να τους βοηθήσουμε με απλές τεχνικές αισθητικής βελτίωσης των δοντιών, όπως είναι η ανάπλαση των δοντιών, που πολλοί την αποκαλούν bonding ή λίφτινγκ δοντιών.
Με την τεχνική αυτή τοποθετούμε στην επιφάνεια του δοντιού σύνθετη ρητίνη, της δίνουμε το κατάλληλο σχήμα και αλλάζουμε την μορφολογία του δοντιού ώστε να βελτιώσουμε την αισθητική του χαμόγελου.
Μια τέτοια παρέμβαση είναι απλή όταν ένα δόντι βρίσκεται προς τα μέσα στο οδοντικό τόξο, είναι όμως πολύ δυσκολότερη όταν το δόντι είναι έξω και πρέπει να μπει μέσα. Ο λόγος είναι πως δεν θέλουμε να τροχίσουμε τα υγιή δόντια πολύ και να περιορίσουμε την ακεραιότητα τους.
Σε ένα δόντι σαν τον έκτοπο κυνόδοντα της αρχικής μας φωτογραφίας, θα έπρεπε να τροχισουμε πολύ για να διορθωσουμε την θέση του. Προκειμένου να αποφύγουμε την αφαίρεση μεγάλης ποσότητας οδοντικής ουσίας, δουλέψαμε όχι μόνο στον κυνόδοντα, αλλά και στο δόντι μπροστά από αυτό, στον πλάγιο τομέα.
Με την προσθήκη σύνθετης ρητίνης στον πλάγιο τομέα κάνουμε τον πλάγιο να βγαίνει προς τα έξω, με αποτέλεσμα ο κυνόδοντας να φαίνεται λιγότερο έκτοπος από ότι είναι στην πραγματικότητα.
Έτσι μοιράζουμε την παρέμβαση σε δύο δόντια ώστε να μην χρειαστεί να τροχίσουμε πολύ τον κυνόδοντα.
Κατασκευάζουμε και στα δύο δόντια όψεις σύνθετης ρητίνης οι οποίες ολοκληρώνονται σε ένα μόνο ραντεβού, με αποτέλεσμα πολύ ικανοποιητικό.
Στην περίπτωση αυτή, όχι μόνο διορθώσαμε την αισθητική του δοντιού, αλλά τοποθετώντας σύνθετη ρητίνη και στην υπερώια επιφάνεια του δοντιού (δηλ. στην πίσω επιφάνεια του δοντιού, προς την πλευρά της υπερώας), πετύχαμε να δημιουργήσουμε και φυσιολογικές συγκλεισιακές σχέσεις ώστε το δόντι με την βοήθεια της ρητίνης να μπορεί να διαχωρίσει τα πίσω δόντια.
Το τελικό αποτέλεσμα πριν και μετά την ανάπλαση φαίνεται στις παρακάτω φωτογραφίες. Πώς σας φαίνεται; 
Δείτε επίσης την περίπτωση ενός ακόμη κυνόδοντα στην δεξιά πλευρα της φωτογραφίας που ακολουθεί, ο οποίος επίσης αποκαταστάθηκε με 2 όψεις ρητίνης. 
Και μιας και η συζήτηση είναι στους κυνόδοντες δείτε στην φωτογραφία που ακολουθεί, το παράδειγμα ενός νεογιλού κυνόδοντα ο οποίος επίσης αποκαταστάθηκε με όψη σύνθετης ρητίνης.
Με γρήγορο και οικονομικό τρόπο, διορθώσαμε το σχήμα του και βελτιώσαμε πολύ την εικόνα του χαμόγελου της ασθενούς μας.


Ασφαλώς και δεν είναι όλοι οι κυνόδοντες ίδιοι, κάποιοι μπορεί να είναι πιο δύσκολο να διορθωθούν και άλλοι μπορεί να είναι ευκολότερο, κάποιοι μάλιστα μπορεί και να μην αντιμετωπίζονται με τις τεχνικές της αισθητικής οδοντιατρικής .
Μόνο ο οδοντίατρος με προσεκτική εξέταση μπορεί να σας πει αν μια τέτοια βελτίωση είναι εφικτή.
Ενημερωθείτε και για άλλες λύσεις που χρησιμοποιούμε στην Προσθετική για να διορθώσουμε τα "στραβά" δόντια και στείλτε μια φωτογραφία με την εικόνα του δικού σας χαμόγελου, για να συζητήσουμε τις δυνατότητες που μπορεί να έχετε.
Αν μπορούμε να βελτιώσουμε την αισθητική του χαμόγελου σας και να σας δώσουμε ένα χαμόγελο με αυτοπεποίθηση, αξίζει να προσπαθήσουμε.
Ποιος ξέρει, μπορεί να είναι πιο εύκολο από όσο νομίζετε...







