Νάρθηκας βρυγμού ή σταθεροποίησης



Νάρθηκας βρυγμού ή σταθεροποιήσης Ο νάρθηκας σταθεροποίησης είναι μια κινητή συσκευή κατασκευασμένη από διαφανές ακρυλικό, η οποία φτιάχνεται ξεχωριστά για κάθε ασθενή και εφαρμόζει στα δόντια του με ακρίβεια.

Ο νάρθηκας σταθεροποιήσης χρησιμοποιείται σε ασθενείς μας με βρυγμό, σε μια παραλειτουργική δηλαδή δραστηριότητα, κατά την οποία οι ασθενείς σφίγγουν ή τρίβουν πολύ τα δόντια τους κυρίως κατά την διάρκεια του ύπνου.

Σκοπός της χρήσης του είναι να προλάβει τις συνέπειες του βρυγμού στο δόντια και στους μύες της γνάθου. 

Χρησιμοποιείται επίσης για να αντιμετωπίσει τα συμπτώματα των ασθενών με προβλήματα στην Κροταφογναθική Διάρθρωση. Βοηθά στην ελάττωση του πόνου, στην χαλάρωση των μυών και στην αντιμετώπιση των οξέων συμπτωμάτων σε ασθενείς με διαταραχές στην λειτουργία των μυών ή της άρθρωσης.

Μπορεί να τοποθετηθεί στην άνω ή στην κάτω γνάθο, αν και για λόγους ευκολίας προτιμούμε να τον κατασκευάζουμε ώστε να εφαρμόζει στα δόντια της άνω γνάθου. 

Ο νάρθηκας σταθεροποίησης έχει συγκεκριμένα τεχνικά χαρακτηριστικά, είναι κατασκευασμένος από σκληρό διαφανές ακρυλικό και αποδίδει σημειακές επιφάνειες κατά την σύγκλειση με τα δόντια της άλλης γνάθου.

Παράλληλα βοηθά στην σταθεροποίηση της θέσης της κάτω γνάθου σε μια θέση που είναι η πιο λειτουργική και φυσική θέση για την γνάθο, θέση που οι οδοντίατροι ονομάζουμε κεντρική σχέση.

Προκειμένου να πληροί αυτά τα χαρακτηριστικά πρέπει να έχει το κατάλληλο πάχος το οποίο είναι διαφορετικό από ασθενή σε ασθενή και να ρυθμίζεται κατάλληλα πριν την παράδοση του στον ασθενή μας. Ρυθμίζεται επίσης κάθε φορά που ελέγχουμε τους ασθενείς μας στον τακτικό εξαμηνιαίο έλεγχο. 

Πολλές φορές, όταν προτείνω στους ασθενείς μου την κατασκευή ενός τέτοιου νάρθηκα, είτε για την προστασία των δοντιών είτε για την ανακούφιση των προβλημάτων που αντιμετωπίζουν στην Κροταφογναθική διάρθρωση, εκείνοι αναρωτιούνται με τι μοιάζει ένας τέτοιος νάρθηκας.

Με αυτή την αφορμή παρουσιάζω σε αυτή την ανάρτηση, φωτογραφίες ενός αληθινού περιστατικού από το ιατρείο.

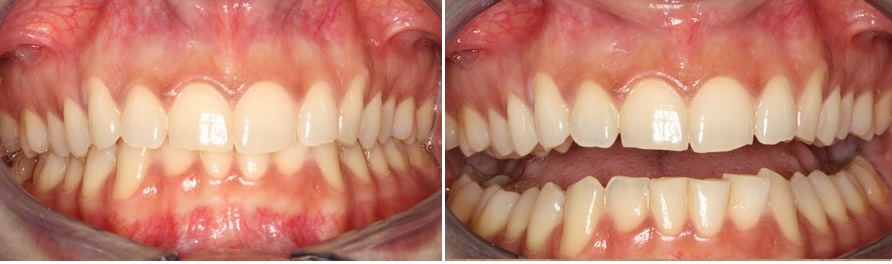
Ο νάρθηκας κατασκευάστηκε για μια ασθενή 25 ετών οι οποία έτριβε τα δόντια της και είχε ήδη σημαντικές αποτριβές.

Τα δόντια είχαν χάσει μέρος του μήκους τους και τα κοπτικά τους άκρα είχαν γίνει επίπεδα, όπως φαίνεται στην φωτογραφία που ακολουθεί και δείχνει τα δόντια σε σύγκλειση και τα δόντια με το στόμα ανοιχτό. 

Αποτριβές δοντιών και νάρθηκας σταθεροποίησης ή βρυγμού

Ο νάρθηκας χρειάζεται δύο ραντεβού για να κατασκευαστεί.

Στο πρώτο παίρνουμε τα αποτυπώματα των δοντιών της άνω και κάτω γνάθου, και στο δεύτερο τον ρυθμίζουμε και τον παραδίδουμε στον ασθενή μας.

Χρειάζεται επανέλεγχο μετά από 2 περίπου εβδομάδες και μετά μια φορά κάθε έξι μήνες για να βεβαιωθούμε πως διατηρεί τις σωστές επαφές με τα δόντια του αντίθετου φραγμού.

Στην ακόλουθη φωτογραφία φαίνεται ο νάρθηκας και από τις δύο όψεις του.

Νάρθηκας σταθεροποίησης ή βρυγμού

Στην τελευταία φωτογραφία βλέπουμε τον νάρθηκα τοποθετημένο στο στόμα και πως φαίνεται στο χαμόγελο της ασθενούς. 

Νάρθηκας σταθεροποίησης ή βρυγμού

Αν αντιμετωπίζετε προβλήματα αποτριβής των δοντιών ή πόνου στην ΚΦΓΔ ένας νάρθηκας σταθεροποίησης μπορεί να σας φανεί χρήσιμος.

Αν προβληματίζεστε για τις αισθητικές συνέπειες που έχουν προκληθεί στα δόντια σας από τον βρυγμό ενημερωθείτε στο βίντεο που ακολουθεί για τον τρόπο με τον οποίο τις αντιμετωπίζουμε. 

"

Ενημερωθείτε επίσης για ένα συντηρητικό τρόπο αντιμετώπισης της αποτριβής των δοντιών καθώς και για τις ασκήσεις που μπορεί να κάνετε για να βοηθηθείτε σε περίπτωση δυσλειτουργίας της κροταφογναθικής διάρθρωσης. 

Αν έχετε οποιαδήποτε ερώτηση μην διστάσετε να επικοινωνήσετε μαζί μου.

Δόμνα Ευαγγελίδου, Προσθετολόγος-Οδοντίατρος